症例詳細
Case detail
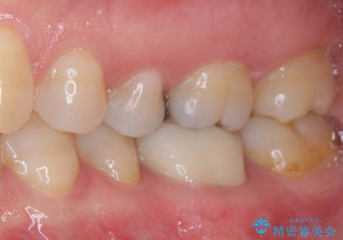
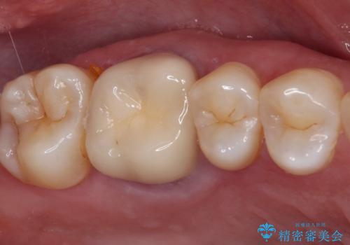
指摘された虫歯 オールセラミッククラウンによる補綴治療
治療症例の内容
- 診療科目
- 治療カテゴリ
- 担当医
- 藤巻太一朗(ドクタープロフィール)
- 患者様
- 40代女性
- 治療期間
- 6ヶ月
- 治療回数
- 2-5回
- 治療計画
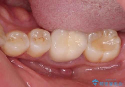
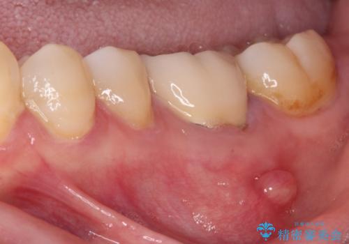
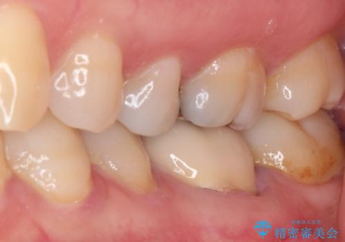
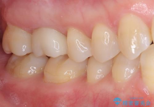
- 上下の奥歯に違和感を感じ、近医にて虫歯を指摘されたとのことで来院された患者様です。
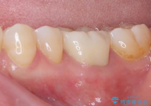
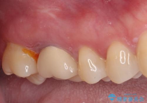
診査したところ、下顎の奥歯は膿の出口ができており、上顎の奥歯は噛んだときに痛みを感じている状態でした。
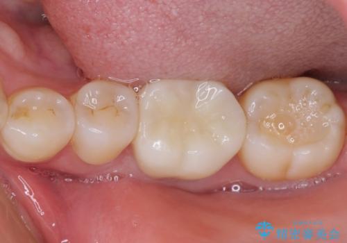
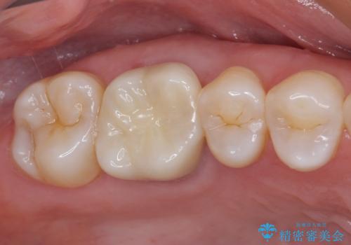
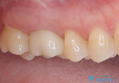
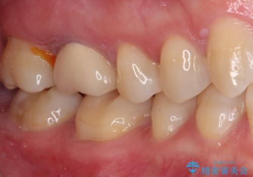
まずは根管治療を行い、症状が落ち着いたことを確認して、オールセラミッククラウンにて補綴治療を行うこととしました。
- 費用(概算)
- 治療費の目安: 55万円(税込)費用は治療当時の料金となります
治療について
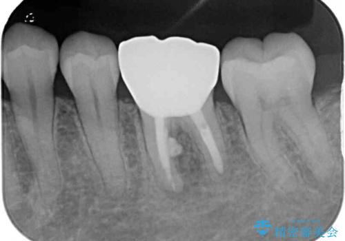
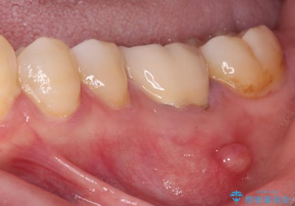
処置後、下顎の膿の出口はすぐに消えましたが、レントゲン写真からも分かるとおり、歯根途中に穴が開いており、充填材が歯根外にはみ出していました。数ヶ月経過を見たところ、特に異常は認められなかったため、補綴治療を行いました。
セラミック治療の注意事項(リスク・副作用など)
- 天然歯を削ります
- 硬い素材は天然歯を傷つけてしまう場合があります
- かみ合わせや歯ぎしりが強すぎる方はセラミックが割れてしまう可能性があります
- 自費診療(保険適用外治療)となります
当サイトの内容、テキスト、画像等の無断転載、複製、複写、盗用を固く禁じます。
















