症例詳細
Case detail
抜歯と言われた奥歯 根管治療と補綴治療
治療症例の内容
- 診療科目
- 治療カテゴリ
- 担当医
- 藤巻太一朗(ドクタープロフィール)
- 患者様
- 30代男性
- 治療期間
- 6ヶ月
- 治療回数
- 5-10回
- 治療計画
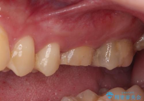
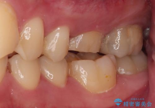
- 近医にて、虫歯が大きいため抜歯が必要と言われたとのことで来院された患者様です。
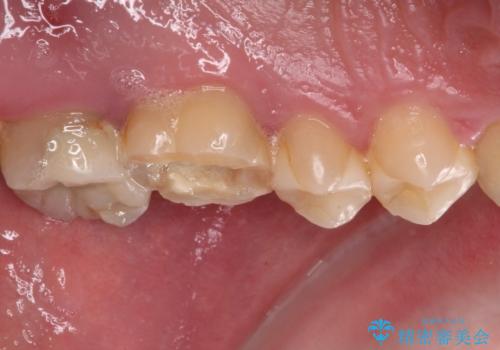
診査したところ、根尖部の病変は大きいものの、抜歯が必要とは決して思えず、まずは根管治療を行うべきと判断しました。
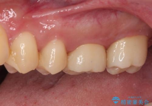
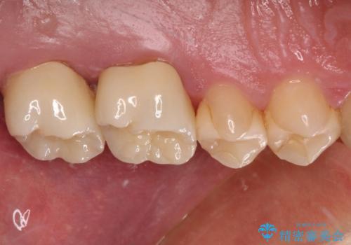
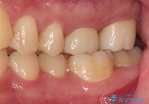
根管治療後、病変が消退したことを確認し、オールセラミッククラウンにて補綴治療を行うこととしました。
- 費用(概算)
- 治療費の目安: 45万円(税込)費用は治療当時の料金となります
治療について
2,3回の処置後には来院時に感じていた痛みはなくなり、根管治療から半年後にはレントゲンでの根尖部病変も消失していました。
はじめに処置をしていた医院に通っていたら、2本とも抜歯されていたかと思うとゾッとするおっしゃっていました。
セラミック治療の注意事項(リスク・副作用など)
- 天然歯を削ります
- 硬い素材は天然歯を傷つけてしまう場合があります
- かみ合わせや歯ぎしりが強すぎる方はセラミックが割れてしまう可能性があります
- 自費診療(保険適用外治療)となります
当サイトの内容、テキスト、画像等の無断転載、複製、複写、盗用を固く禁じます。










