症例詳細
Case detail
多発した前歯の重度虫歯治療
治療症例の内容
- 患者様
- 20代女性
- 治療期間
- 1年
- 治療回数
- 5-10回
- 治療計画
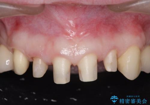
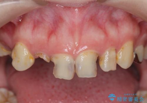
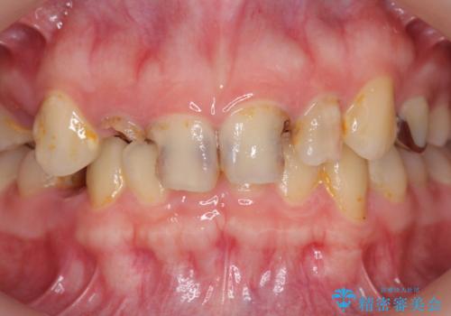
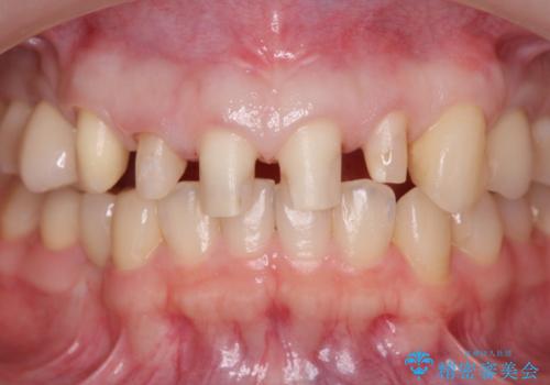
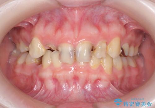
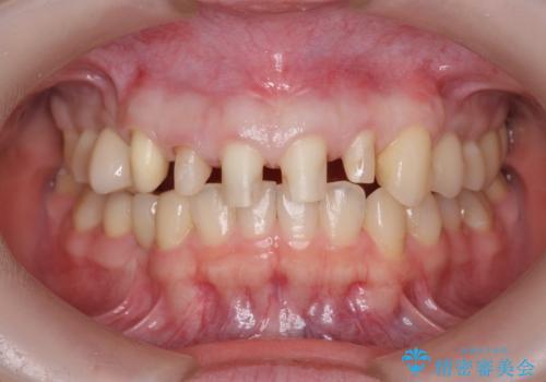
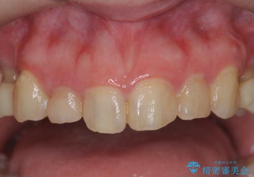
- 放置した虫歯の歯がボロボロになってしまい治療を希望され来院されました。
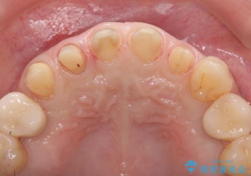
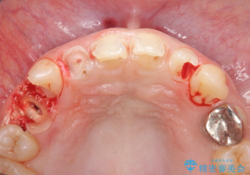
残根状態の歯、神経まで虫歯が達し失活した歯、歯肉縁下まで及んだ虫歯が多数認められます。
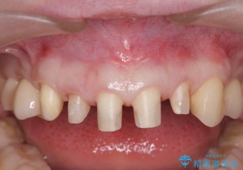
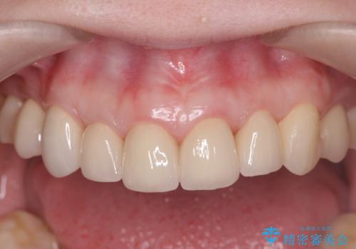
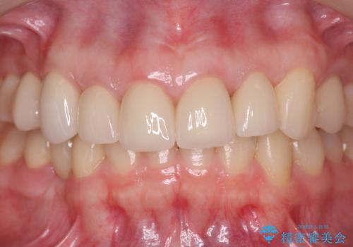
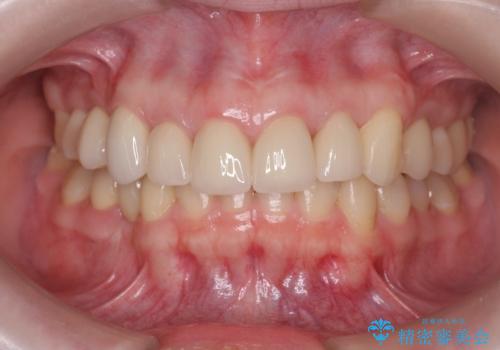
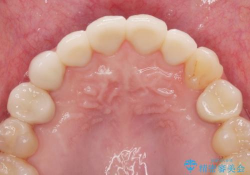
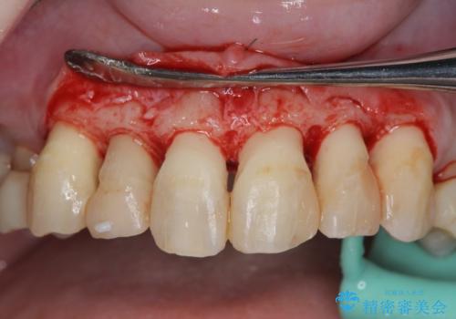
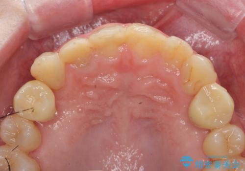
まず虫歯を拡大鏡、マイクロスコープ下で丁寧に取り除き歯肉縁下の虫歯を歯周外科により解決したのち、ジルコニアクラウン製作を行っていきます。
- 費用(概算)
- 77万円(仮歯・ジルコニアクラウン×5 歯周外科)費用は治療当時の料金となります
治療について
丁寧な虫歯の除去・歯周組織の整備、適合の良い精密なセラミッククラウンの製作といった丁寧な治療の積み重ねが良好な治療結果を得ることにつながります。
セラミック治療の注意事項(リスク・副作用など)
- 天然歯を削ります
- 硬い素材は天然歯を傷つけてしまう場合があります
- かみ合わせや歯ぎしりが強すぎる方はセラミックが割れてしまう可能性があります
- 自費診療(保険適用外治療)となります
当サイトの内容、テキスト、画像等の無断転載、複製、複写、盗用を固く禁じます。


























