症例詳細
Case detail
前歯で物を噛みきれない マウスピース矯正で改善
治療症例の内容
- 診療科目
 
- 担当医
 - 大元洋佑(ドクタープロフィール)
 
- 患者様
 - 20代男性
 
- 矯正装置
 - インビザライン
 
- 治療期間
 - 1年4ヶ月
 
- 治療回数
 - 10-30回
 
- 治療計画
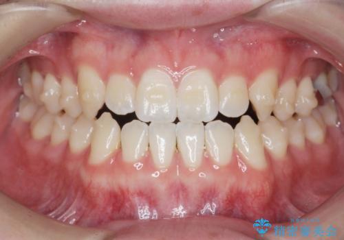
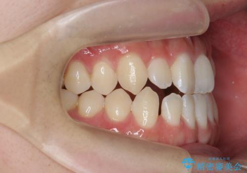
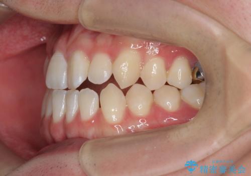
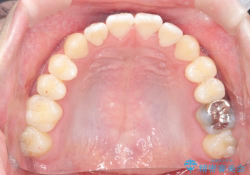
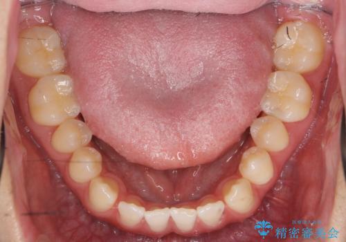
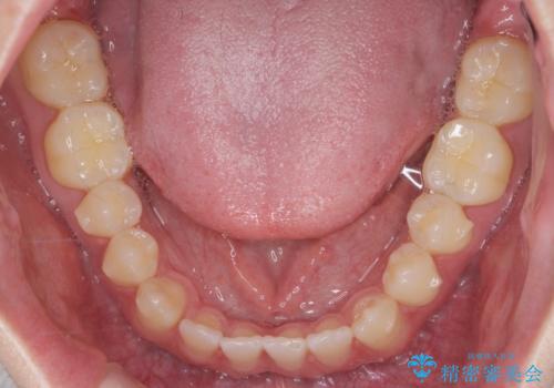
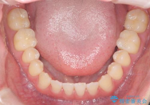
 - 「前歯で物を噛みきれない、社会人になる前に矯正治療をしたい。」、とマウスピース矯正治療を希望され来院されました。
全体的に噛み合わせが弱く、しっかりと物が噛みきれない状態をインビザライン矯正で改善していきます。 
- 費用(概算)
 - 88万円費用は治療当時の料金となります
 
治療について
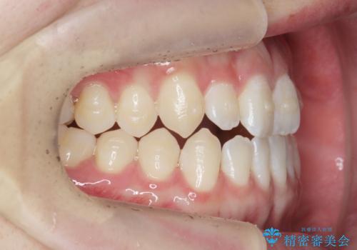
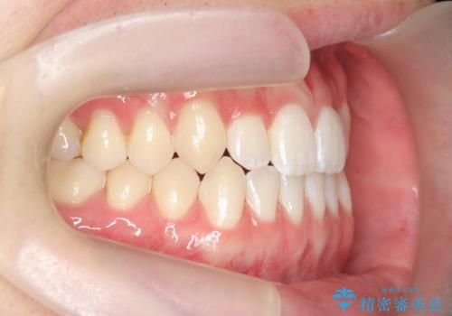
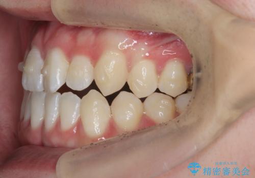
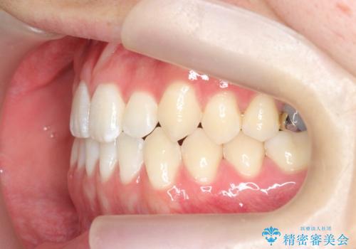
矯正治療後は全体でしっかりと噛むことができるようになり、安定した噛み合わせを手に入れることができました。
マウスピース矯正の注意事項(リスク・副作用など)
- 口腔内・歯並びの状態によっては対応できない場合があります
 - マウスピース型矯正装置の長時間装着(1日20時間以上)が必須です
 - 治療計画通りに進めるためには、患者様の意志が重要になります
 - 矯正治療後の保定が不十分だと後戻り(元の位置に戻ろうとする動き)をします
 - 薬機法対象外の矯正歯科装置のため医薬品副作用被害救済制度の対象外となる場合があります
 - 自費診療(保険適用外)となります
 
当サイトの内容、テキスト、画像等の無断転載、複製、複写、盗用を固く禁じます。

                      
                                                          













