症例詳細
Case detail
前歯の見た目を改善 セラミック審美治療
治療症例の内容
- 診療科目
- 治療カテゴリ
- 担当医
- 大元洋佑(ドクタープロフィール)
- 患者様
- 20代女性
- 治療期間
- 1ヶ月
- 治療回数
- 2-5回
- 治療計画
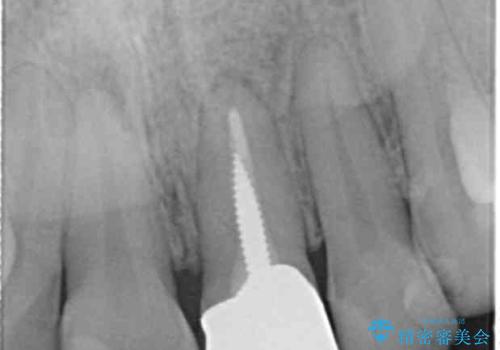
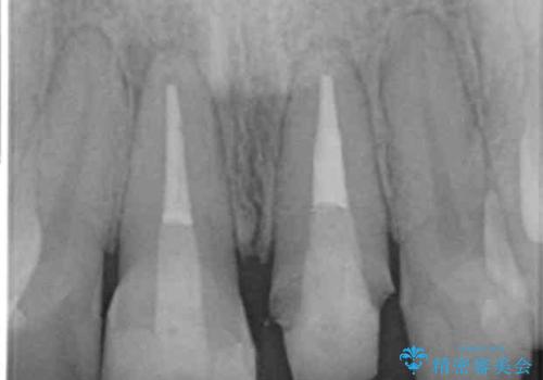
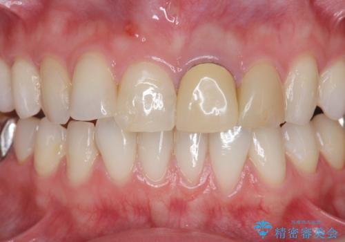
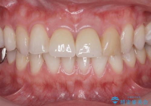
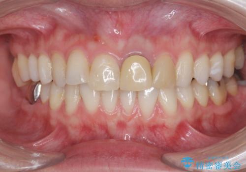
- 長年気になっている前歯の見た目を改善したいと来院されました。
両側の前歯に根尖性歯周炎を認めたため根管治療を行ったのち、ジルコニアクラウンを用いた審美性の改善を計画します。
- 費用(概算)
- 24.2万円(仮歯・ジルコニアクラウン×2)費用は治療当時の料金となります
治療について
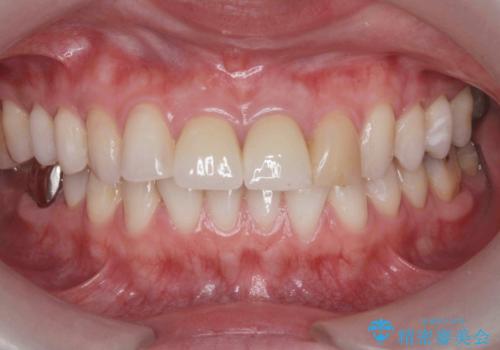
前歯の見た目が改善したことで長年の悩みが解決できた。と治療内容に満足いただくことができました。
セラミック治療の注意事項(リスク・副作用など)
- 天然歯を削ります
- 硬い素材は天然歯を傷つけてしまう場合があります
- かみ合わせや歯ぎしりが強すぎる方はセラミックが割れてしまう可能性があります
- 自費診療(保険適用外治療)となります
当サイトの内容、テキスト、画像等の無断転載、複製、複写、盗用を固く禁じます。











