症例詳細
Case detail
インプラントを用いた咬合機能回復治療
- 患者様
- 50代男性
- 治療期間
- 2年
- 治療回数
- 5-10回
- 治療計画
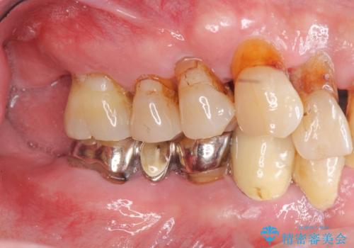
- 「歯がぐらぐらして噛めない、歯を抜いて欲しい、またしっかりと噛めるようになりたい。」、と歯周病治療を希望され来院されました。
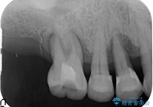
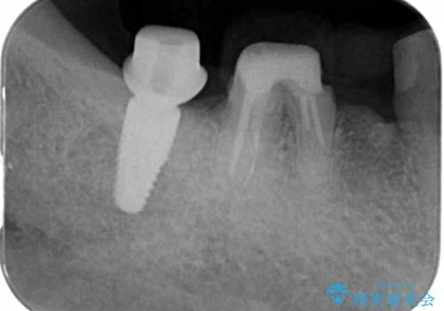
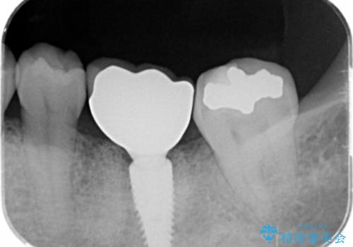
歯の根本まで骨吸収が進み、ぐらぐらになってしまった歯を抜去し骨の造成を行ったのちインプラント治療を計画します。
- 費用(概算)
- 約200万円(上下のインプラント・ブリッジ セラミック治療含む)費用は治療当時の料金となります
治療について
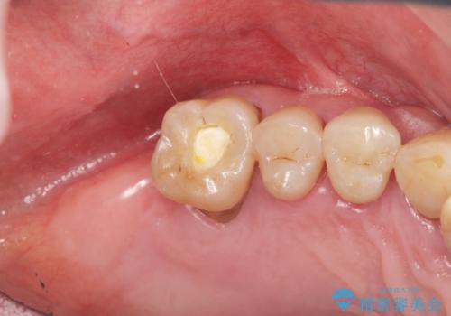
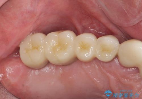
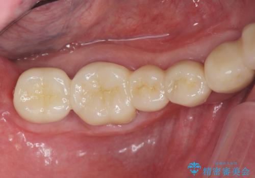
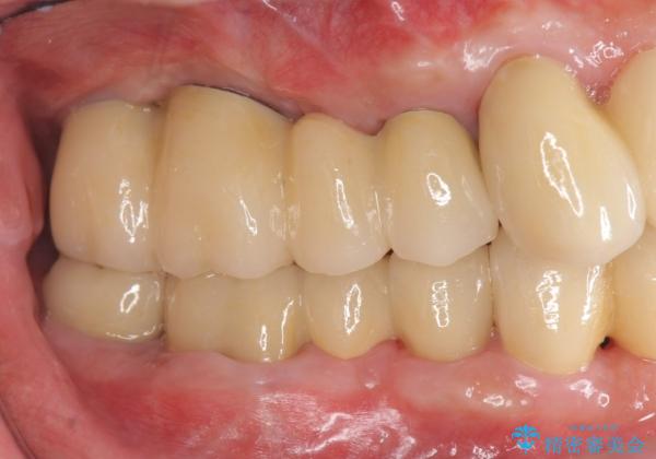
重度に吸収してしまった歯槽骨をしっかりと造成を行ったのちにインプラント治療を行ったので、安定した歯周環境にすることができました。
セラミック治療の注意事項(リスク・副作用など)
- 天然歯を削ります
- 硬い素材は天然歯を傷つけてしまう場合があります
- かみ合わせや歯ぎしりが強すぎる方はセラミックが割れてしまう可能性があります
- 自費診療(保険適用外治療)となります
インプラント治療の注意事項(リスク・副作用など)
- 外科手術のため、術後に痛みや腫れ、違和感を伴います
- メンテナンスを怠ったり喫煙により、お口の中に大きな悪影響を及ぼすインプラント周囲炎等にかかる可能性があります
- 糖尿病、肝硬変、心臓病等の場合、インプラント治療ができない可能性があります
- 高血圧、貧血・不整脈等の場合、インプラント治療後に治癒不全を招く可能性があります
- 自費診療(保険適用外治療)となります
当サイトの内容、テキスト、画像等の無断転載、複製、複写、盗用を固く禁じます。















