症例詳細
Case detail
【オールセラミッククラウン】銀歯の下に大きな虫歯
治療症例の内容
- 診療科目
- 治療カテゴリ
- 担当医
- 河野豊嘉(ドクタープロフィール)
- 患者様
- 60代女性
- 治療期間
- 3ヶ月
- 治療回数
- 2-5回
- 治療計画
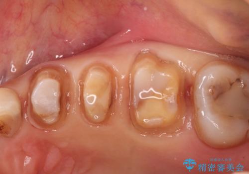
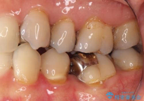
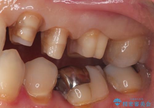
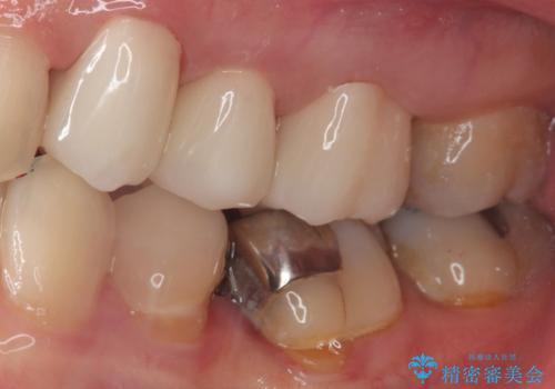
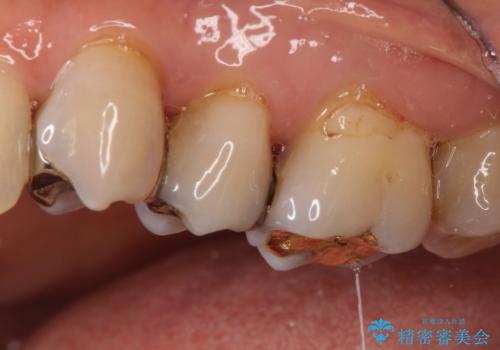
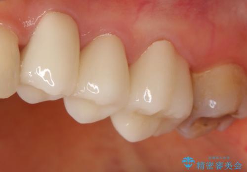
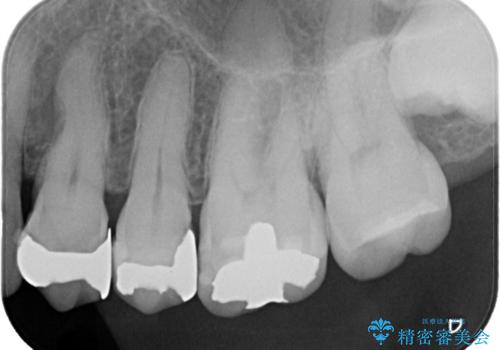
- 定期健診にて虫歯が見つかった患者さんです。県外からお越しいただいている事もあり、かなりお久しぶりの来院でした。歯と歯の間のところと銀歯の下が虫歯になっていました。被せ物はオールセラミッククラウンで治療しました。
- 費用(概算)
- 363,000円(仮歯11,000円×3本+100,000円×3本)費用は治療当時の料金となります
治療について
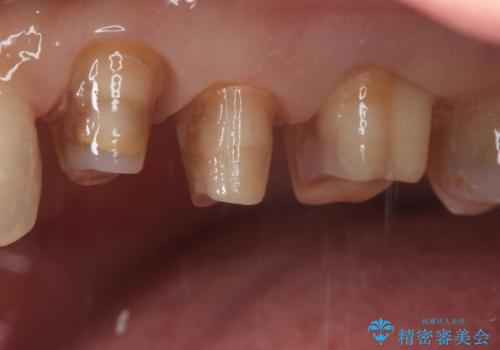
銀歯を外すとかなり大きな虫歯になっていました。幸いぎりぎりのところで神経まで虫歯は広がっていなかったため、症状が出ない事を確認した後、オールセラミッククラウンで治療しました。虫歯除去後、残っている歯質が少なかったため、破折抵抗を考慮し部分的な被せ物ではなくクラウンを選択しました。
※被せ物では歯と被せ物の適合がとても大切になります。適合が悪い被せもの(歯と被せものの間に隙間がある)を入れるとそこに汚れが溜り虫歯の原因となります。当院では精度が高い被せものを追求するため、サージテル(拡大鏡)や型取りの材料にシリコン材を使用しています。
セラミック治療の注意事項(リスク・副作用など)
- 天然歯を削ります
- 硬い素材は天然歯を傷つけてしまう場合があります
- かみ合わせや歯ぎしりが強すぎる方はセラミックが割れてしまう可能性があります
- 自費診療(保険適用外治療)となります
当サイトの内容、テキスト、画像等の無断転載、複製、複写、盗用を固く禁じます。














