症例詳細
Case detail
より安定した歯科治療を求めて カスタムアバットメントと最上位オールセラミッククラウン
治療症例の内容
- 担当医
- 藤巻太一朗(ドクタープロフィール)
- 患者様
- 60代女性
- 治療期間
- 1年
- 治療回数
- 5-10回
- 治療計画
- 歯根破折により、抜歯を余儀なくされてしまった患者様です。
抜歯後にインプラント埋入し、オールセラミックにて補綴することとしました。
- 費用(概算)
- 治療費の目安: 60万円費用は治療当時の料金となります
治療を終えて
歯根破折による抜歯のため、破折部付近の歯槽骨が大きく失われてしまったので、骨造成を行った上で、最適な位置にインプラントを埋入しました。
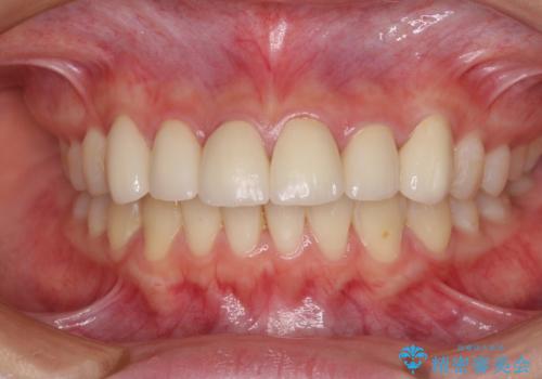
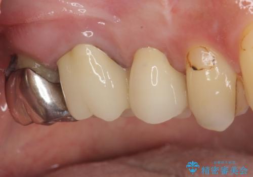
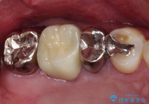
インプラントとクラウンを接合するアバットメントは、既製品を用いずにジルコニアによるカスタマイズ品を使用し、歯肉際の部分の清掃性や審美性が向上するように配慮しています。また、クラウンは当院でご用意している中でも最上位のものを選択いただき、審美面はもちろん、マージン適合や咬み合わせなど、全ての面において患者様には大変満足していただけました。
リスクについて
外科処置は術後に痛みを伴います。
セラミックは破折などにより修復や再製作が必要となることがあります。
インプラント治療の注意事項(リスク・副作用など)
- 外科手術のため、術後に痛みや腫れ、違和感を伴います
- メンテナンスを怠ったり喫煙により、お口の中に大きな悪影響を及ぼすインプラント周囲炎等にかかる可能性があります
- 糖尿病、肝硬変、心臓病等の場合、インプラント治療ができない可能性があります
- 高血圧、貧血・不整脈等の場合、インプラント治療後に治癒不全を招く可能性があります
- 自費診療(保険適用外治療)となります
外科処置の注意事項(リスク・副作用など)
- 外科手術のため、術後に出血、痛みや腫れ、違和感を伴います
- 口腔内の状態によっては適応できないことがあります
当サイトの内容、テキスト、画像等の無断転載、複製、複写、盗用を固く禁じます。















