症例詳細
Case detail
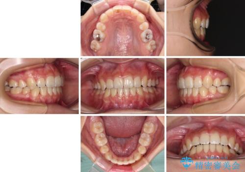
デコボコと八重歯の目立つ前歯 ワイヤー装置による抜歯矯正
治療症例の内容
- 診療科目
- 治療カテゴリ
- 担当医
- 藤巻太一朗(ドクタープロフィール)
- 患者様
- 20代女性
- 矯正装置
- 審美装置
- 治療期間
- 2年
- 治療回数
- 10-30回
- 治療計画
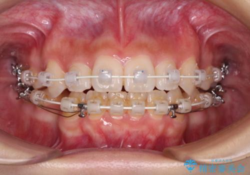
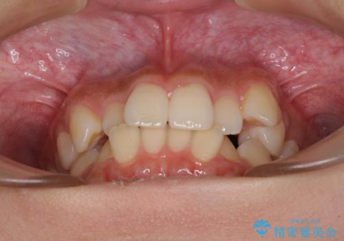
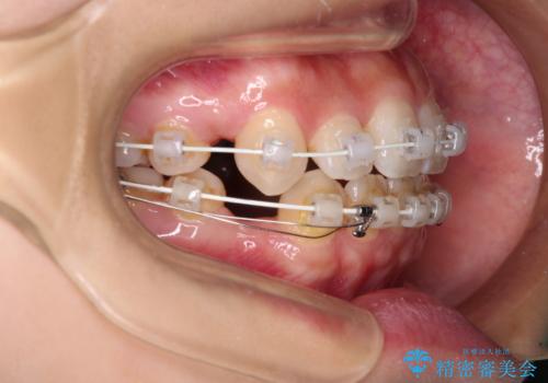
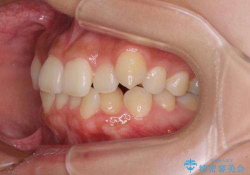
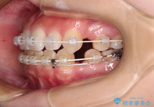
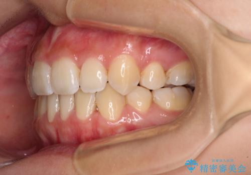
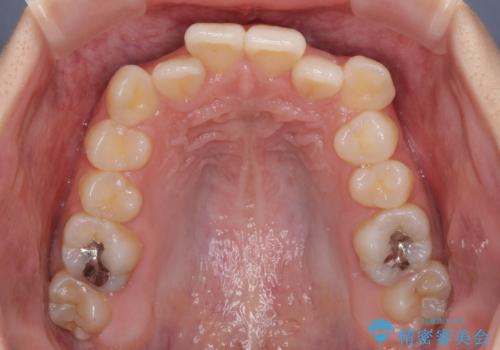
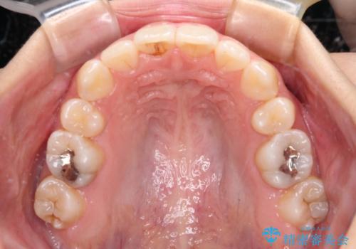
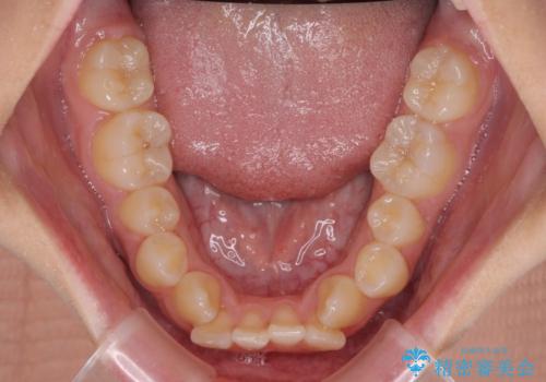
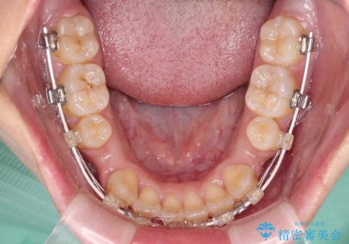
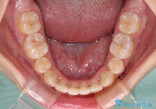
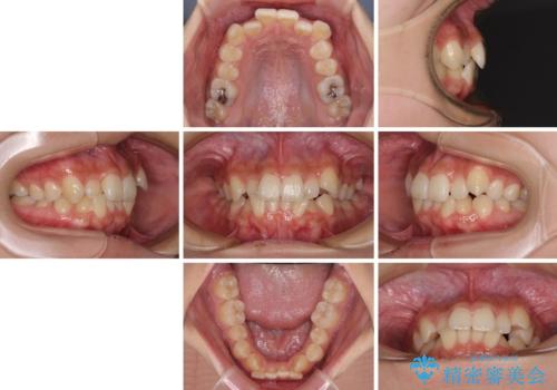
- 上下前歯のデコボコと八重歯を気にして来院された患者様です。
叢生を解消する際に出っ歯とならないようにするために、上下左右の小臼歯計4本を抜歯することとしました。
- 費用(概算)
- 治療費の目安: 105万円(税込)費用は治療当時の料金となります
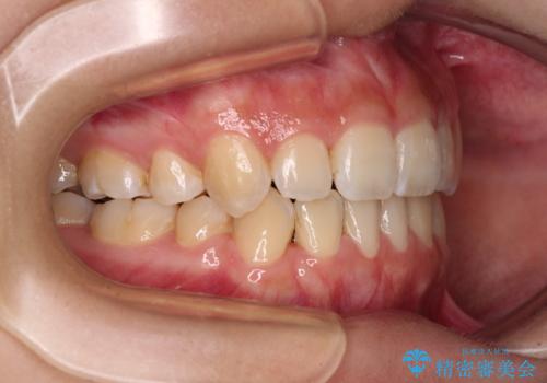
治療について
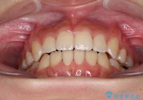
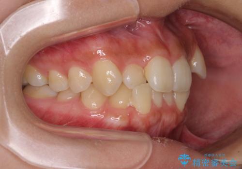
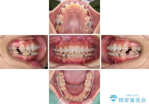
奥歯の咬み合わせが理想的であり、歯の移動に時間のかかる出っ歯でもなかったため、2年程度で治療を終えることを目標としましたが、無事に予定通りの2年間で終えることができました。
ワイヤー矯正の注意事項(リスク・副作用など)
- 治療中は違和感や痛みが起こることがあります
- 症状により、抜歯が必要な場合があります
- 治療中は歯磨きがしにくくなるため、虫歯や歯周病になりやすくなります
- 矯正治療後の保定が不十分だと後戻り(元の位置に戻ろうとする動き)をします
- 自費診療(保険適用外)となります
当サイトの内容、テキスト、画像等の無断転載、複製、複写、盗用を固く禁じます。


























