症例詳細
Case detail
抜歯と言われた歯を残したい 部分矯正と外科処置を用いた補綴治療
治療症例の内容
- 診療科目
- 治療カテゴリ
- 担当医
- 藤巻太一朗(ドクタープロフィール)
- 患者様
- 20代女性
- 治療期間
- 6ヶ月
- 治療回数
- 5-10回
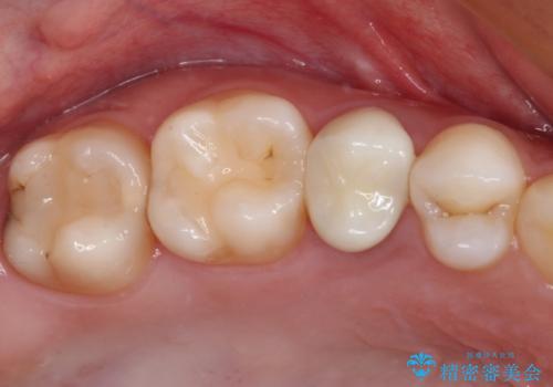
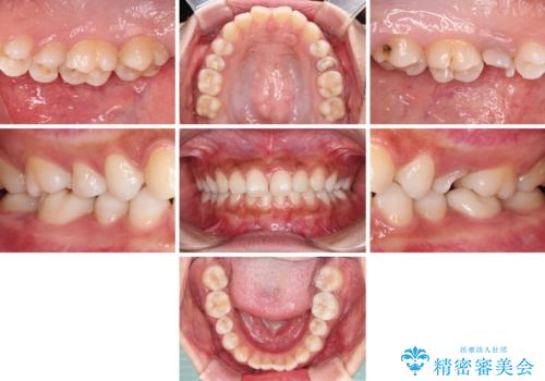
- 治療計画
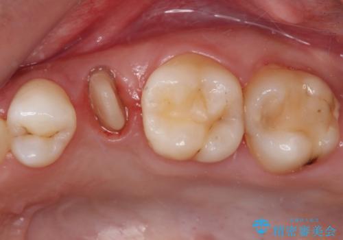
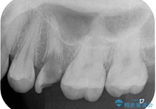
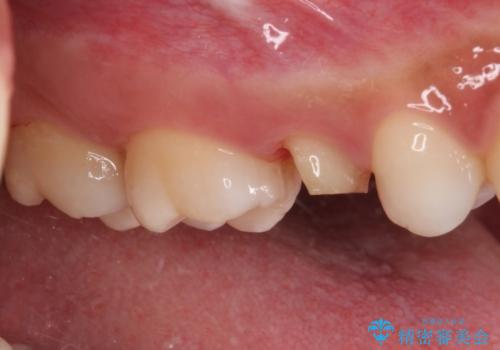
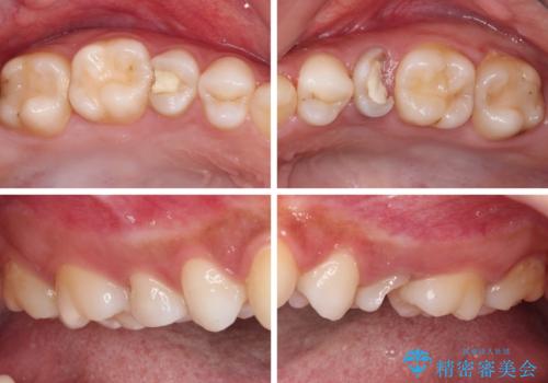
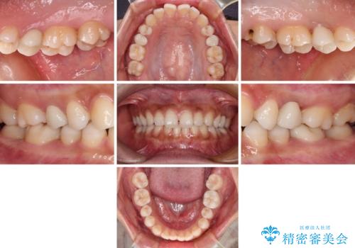
- 根管治療が必要な虫歯を放置した結果、抜歯が必要と診断されたとのことで来院された患者様です。
口腔内の状態やレントゲン写真から判断し、長期的なことを考えると抜歯が無難と思われましたが、それを承知の上で保存するための処置を行うこととしました。
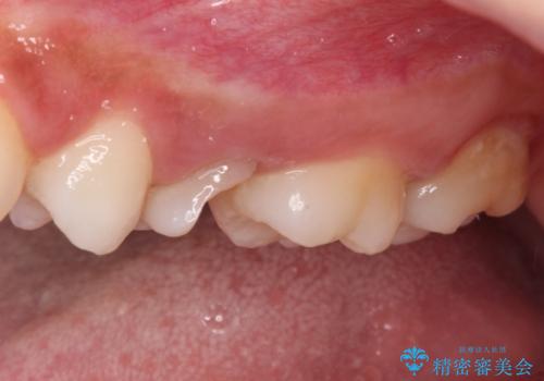
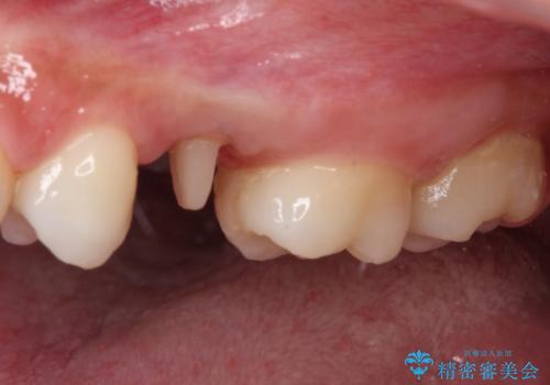
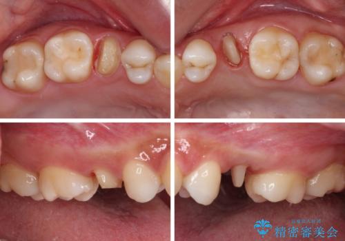
まずは虫歯を除去した上で根管治療を行い、部分矯正により骨内深い位置にまで及んだ健全な部分を引っ張り出すこととしました。
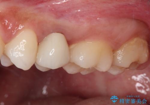
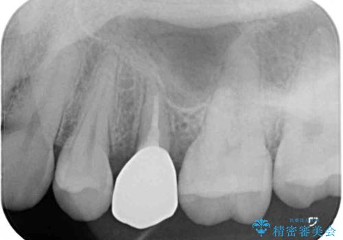
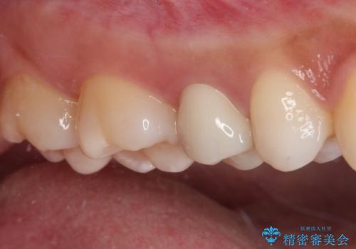
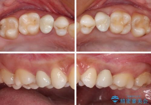
その後骨形成処置を行い、治癒を待って補綴治療を行うこととしました。
- 費用(概算)
- 治療費の目安: 65万円(税込)費用は治療当時の料金となります
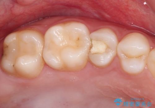
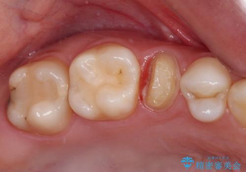
治療について
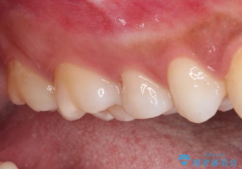
かなり深い位置にまで虫歯が及んでいたため、かなりの量を引っ張り出す必要があり、残された歯根は短く小さい状態となりました。
今後も定期的にレントゲンを撮るなど、経過を追っていく必要があります。
セラミック治療の注意事項(リスク・副作用など)
- 天然歯を削ります
- 硬い素材は天然歯を傷つけてしまう場合があります
- かみ合わせや歯ぎしりが強すぎる方はセラミックが割れてしまう可能性があります
- 自費診療(保険適用外治療)となります
根管治療の注意事項(リスク・副作用など)
- 根管治療により類似の全ての症例の問題が解決するわけではなく、症例はあくまでも一例です
- 根管治療により痛みや腫れがひかない事や、術後に痛みや腫れが生じる事、治療によるファイル破折やパーフォレーションなどの偶発症、術後の歯根破折を生じる可能性もあります
- 自費診療(保険適用外)となります
外科処置の注意事項(リスク・副作用など)
- 外科手術のため、術後に出血、痛みや腫れ、違和感を伴います
- 口腔内の状態によっては適応できないことがあります
当サイトの内容、テキスト、画像等の無断転載、複製、複写、盗用を固く禁じます。























