症例詳細
Case detail
前にずれた咬み合わせをワイヤー装置でしっかりと改善
治療症例の内容
- 診療科目
- 治療カテゴリ
- 担当医
- 藤巻太一朗(ドクタープロフィール)
- 患者様
- 30代女性
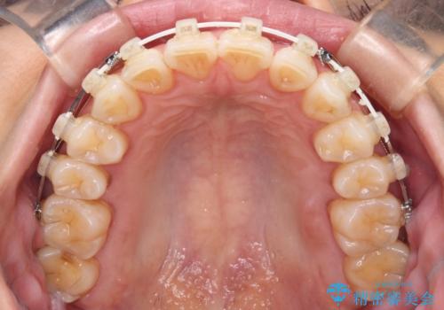
- 矯正装置
- 審美装置
- 治療期間
- 2年1ヶ月
- 治療回数
- 5-10回
- 治療計画
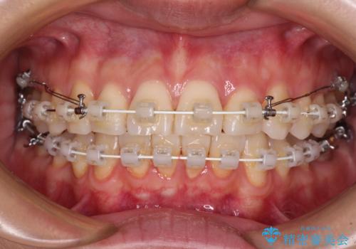
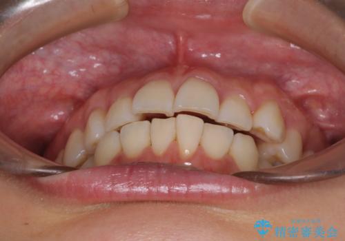
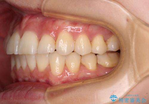
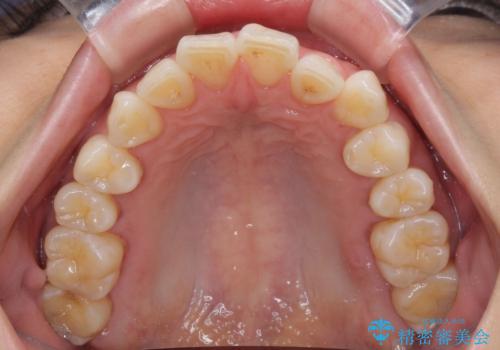
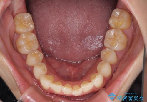
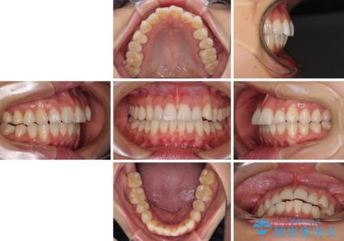
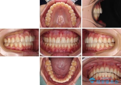
- 奥歯の咬み合わせと、上下前歯の隙間を気にして来院された患者様です。
上顎の歯列全体が、下顎歯列に対して前方に位置しており、その影響で上顎前歯がやや前方に突出している状態でした。
横顔の印象から、抜歯をして積極的に口元を引っ込める必要はなかったため、アンカースクリューを用いて上顎歯列全体を後方に移動させることとしました。
- 費用(概算)
- 治療費の目安: 100万円(税込)費用は治療当時の料金となります
治療について
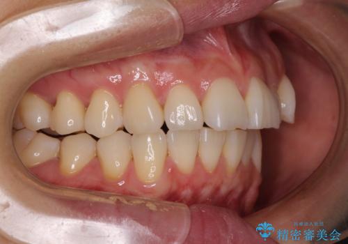
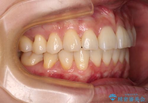
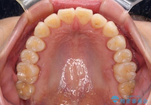
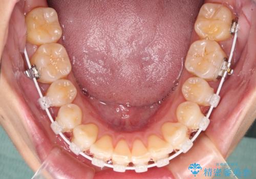
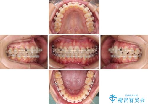
奥歯の咬み合わせは理想的な状態に改善され、その結果として上下歯列もバランスの良い位置に収めることができました。
若干ではあるものの上顎前歯を内側に移動させることができ、以前よりも口が閉じやすいと感じるようになりました。
ワイヤー矯正の注意事項(リスク・副作用など)
- 治療中は違和感や痛みが起こることがあります
- 症状により、抜歯が必要な場合があります
- 治療中は歯磨きがしにくくなるため、虫歯や歯周病になりやすくなります
- 矯正治療後の保定が不十分だと後戻り(元の位置に戻ろうとする動き)をします
- 自費診療(保険適用外)となります
当サイトの内容、テキスト、画像等の無断転載、複製、複写、盗用を固く禁じます。


























