症例詳細
Case detail
痛みの続く大きな虫歯の奥歯 オールセラミッククラウンでの補綴治療
治療症例の内容
- 診療科目
- 治療カテゴリ
- 担当医
- 藤巻太一朗(ドクタープロフィール)
- 患者様
- 40代男性
- 治療期間
- 1ヶ月
- 治療回数
- 2-5回
- 治療計画
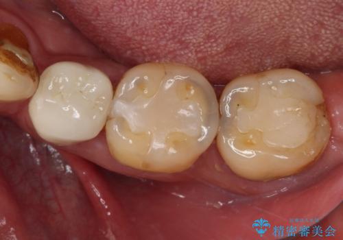
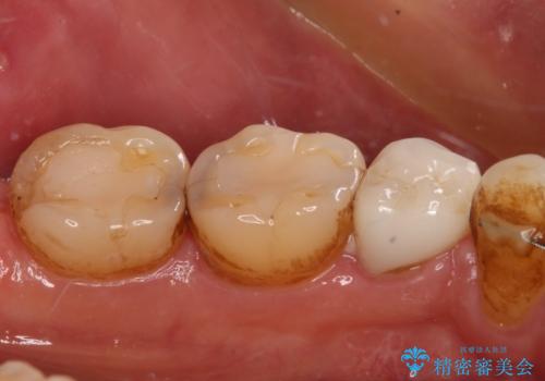
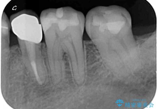
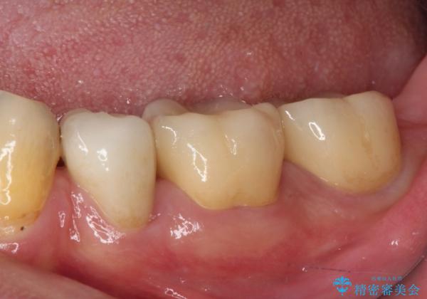
- 奥歯がしみるとのことで来院された患者様です。
診査をしたところ、目視でも明らかな、とても大きなむし歯があありました。
既に治療により詰め物が装着されている歯であったため、オールセラミッククラウンによる補綴治療を選択することとしました。
- 費用(概算)
- 治療費の目安: 25万円(税込)費用は治療当時の料金となります
治療について
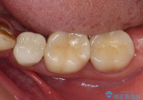
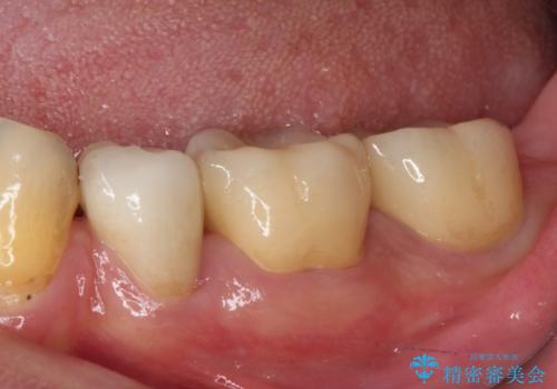
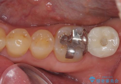
虫歯を取り除き、仮歯を装着した時点でしみる感覚は改善されました。
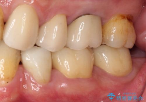
オールセラミッククラウン装着後も経過は良好です。
セラミック治療の注意事項(リスク・副作用など)
- 天然歯を削ります
- 硬い素材は天然歯を傷つけてしまう場合があります
- かみ合わせや歯ぎしりが強すぎる方はセラミックが割れてしまう可能性があります
- 自費診療(保険適用外治療)となります
当サイトの内容、テキスト、画像等の無断転載、複製、複写、盗用を固く禁じます。










