症例詳細
Case detail
ジルコニアクラウン治療
治療症例の内容
- 診療科目
 
- 治療カテゴリ
 
- 担当医
 - 青山卓弘(ドクタープロフィール)
 
- 患者様
 - 20代男性
 
- 治療期間
 - 1ヶ月
 
- 治療回数
 - 2-5回
 
- 治療計画
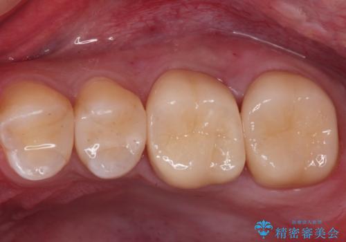
 - 銀の詰め物を白くしたいとの事で来院。
奥の歯と歯の間に虫歯ができていました。
また、歯の外側に古いプラスチックの樹脂で治療されていて劣化していました。
なので詰め物のやりかえだけだと外側を覆うことはできないため被せ物で治療しました。
隣の歯も外側に古いプラスチック樹脂があり、詰め物だと覆えないため被せ物で治療を行いました。
 
- 費用(概算)
 - ジルコニアクラウン・仮歯 12.1万円×2費用は治療当時の料金となります
 
治療について
ジルコニアクラウンは表面がツルツルしていて、汚れがつきにくいです。
白い被せ物が入り、大変満足して頂きました。
セラミック治療の注意事項(リスク・副作用など)
- 天然歯を削ります
 - 硬い素材は天然歯を傷つけてしまう場合があります
 - かみ合わせや歯ぎしりが強すぎる方はセラミックが割れてしまう可能性があります
 - 自費診療(保険適用外治療)となります
 
その他の注意事項(リスク・副作用など)
- 担当歯科医師、歯科衛生士又は医院スタッフから受けた説明・注意事項をよくご確認ください
 - 医療を提供するに当たり、適切な説明を行い、患者様の十分な理解を得るよう努めております
 
当サイトの内容、テキスト、画像等の無断転載、複製、複写、盗用を固く禁じます。

                      
                                                          









