症例詳細
Case detail
詰め物が欠けてしみる
治療症例の内容
- 診療科目
- 治療カテゴリ
- 担当医
- 青山卓弘(ドクタープロフィール)
- 患者様
- 30代男性
- 治療期間
- 1ヶ月
- 治療回数
- 2-5回
- 治療計画
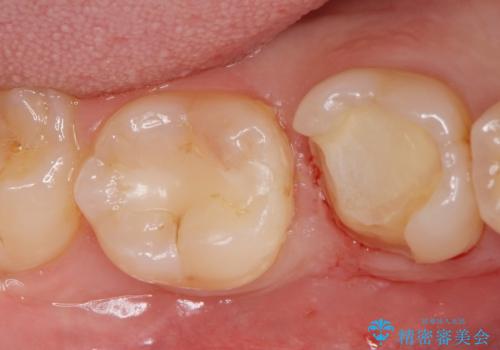
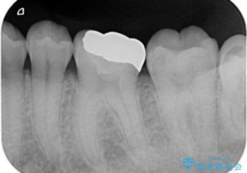
- 過去に他院で治療した詰め物が欠けてしみるとの事で来院。
プラスチックの樹脂での治療(保険)でされており虫歯が再発していました。
あまり歯質を削って欲しくないとの事だったのでゴールドインレーでの治療になりました。
- 費用(概算)
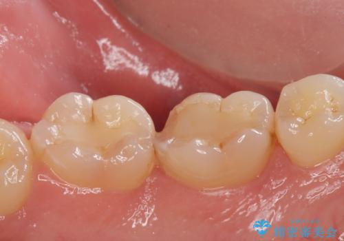
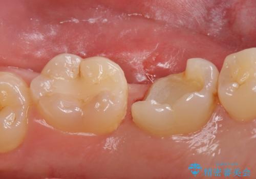
- ゴールドアンレー 11万円費用は治療当時の料金となります
治療について
セラミックの詰め物は範囲が多ければ多いいほど割れてしまうリスクが高いため
被せ物(ジルコニアクラウン)のご提案をさせて頂く場合があります。
今回はなるべく歯質を残したいとの事なのでゴールドの詰め物でご案内させて頂きました。ゴールドは範囲が多くても割れる心配がありません。また、虫歯の再発リスクが低いです。
その他の注意事項(リスク・副作用など)
- 担当歯科医師、歯科衛生士又は医院スタッフから受けた説明・注意事項をよくご確認ください
- 医療を提供するに当たり、適切な説明を行い、患者様の十分な理解を得るよう努めております
PGA(ゴールド)クラウン、インレーの注意事項(リスク・副作用など)
- インレーおよびクラウンは脱離するリスクがあります
- 形成量はセラミックより少ないですが、歯の形成、修復後に歯に症状が出ることがあります
- 自費診療(保険適用外治療)となります
当サイトの内容、テキスト、画像等の無断転載、複製、複写、盗用を固く禁じます。








