症例詳細
Case detail
【オールセラミッククラウン】矮小歯の治療
治療症例の内容
- 診療科目
- 治療カテゴリ
- 担当医
- 河口智英(ドクタープロフィール)
- 患者様
- 30代女性
- 治療期間
- 2ヶ月
- 治療回数
- 2-5回
- 治療計画
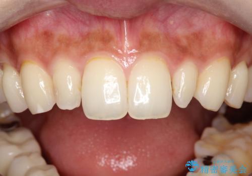
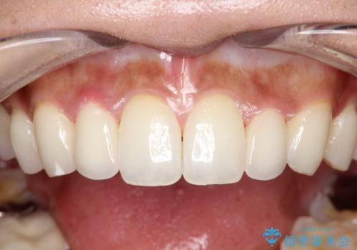
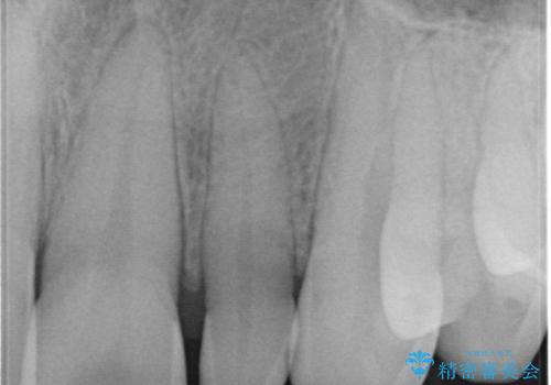
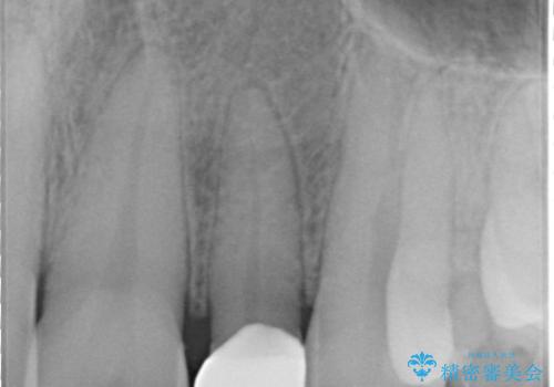
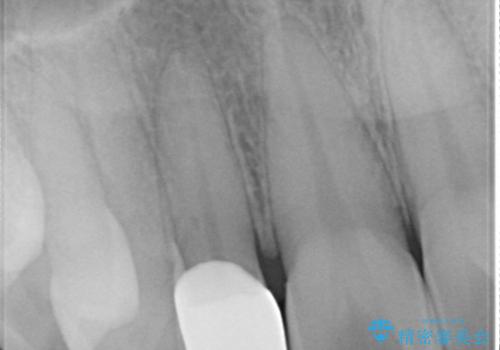
- 矯正治療で配列した矮小歯をオールセラミッククラウンで修復治療を行いました。
すごく自然な仕上がりになり満足していただきました。
- 費用(概算)
- 28万円費用は治療当時の料金となります
治療について
オールセラミッククラウンは、隣の歯に合わせて色調を調整することができるため非常に綺麗に仕上がります。
セラミック治療の注意事項(リスク・副作用など)
- 天然歯を削ります
- 硬い素材は天然歯を傷つけてしまう場合があります
- かみ合わせや歯ぎしりが強すぎる方はセラミックが割れてしまう可能性があります
- 自費診療(保険適用外治療)となります
当サイトの内容、テキスト、画像等の無断転載、複製、複写、盗用を固く禁じます。









