症例詳細
Case detail
転んで欠けてしまった前歯 オーダーメイドのオールセラミッククラウン
治療症例の内容
- 診療科目
- 治療カテゴリ
- 担当医
- 藤巻太一朗(ドクタープロフィール)
- 患者様
- 20代女性
- 治療期間
- 1ヶ月
- 治療回数
- 2-5回
- 治療計画
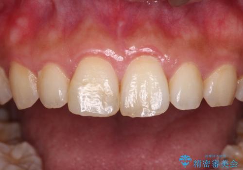
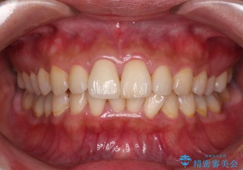
- 転んで欠けてしまった前歯を気にして来院された患者様です。
転んだ際に歯の先端1/4ほどが欠けてしまい、近医にて修復をしてもらったとのことですが、将来的にオールセラミッククラウンを装着する可能性を説明されたため、当院にて補綴治療を行うこととしました。
- 費用(概算)
- 治療費の目安: 15万円(税込)費用は治療当時の料金となります
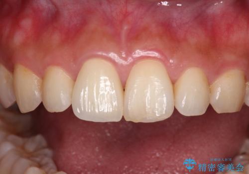
治療について
オーダーメイドタイプのセラミッククラウンは、既製タイプのク色のラウン(スタンダードタイプ)とは異なり、色合いが合うまで何度も修正を行って調整をいたします。
セラミック治療の注意事項(リスク・副作用など)
- 天然歯を削ります
- 硬い素材は天然歯を傷つけてしまう場合があります
- かみ合わせや歯ぎしりが強すぎる方はセラミックが割れてしまう可能性があります
- 自費診療(保険適用外治療)となります
当サイトの内容、テキスト、画像等の無断転載、複製、複写、盗用を固く禁じます。












