症例詳細
Case detail
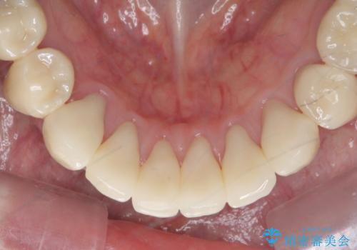
シェーグレン症候群で多発した虫歯 前歯のセラミック治療
治療症例の内容
- 診療科目
- 治療カテゴリ
- 担当医
- 大元洋佑(ドクタープロフィール)
- 患者様
- 50代女性
- 治療期間
- 1ヶ月
- 治療回数
- 2-5回
- 治療計画
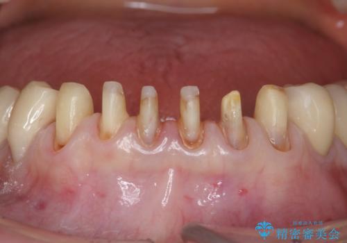
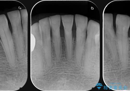
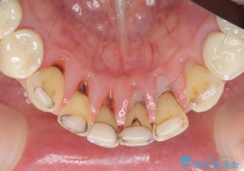
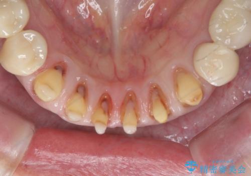
- シェーグレン症候群は唾液の分泌が減少し、ドライマウスなど口腔内の乾燥症状が出る疾患です。
唾液分泌が減少すると、虫歯になりやすく、小さな虫歯にコンポジットレジンを充填を繰り返した結果 写真のような継ぎ接ぎだらけの歯になってしまいます。
充填されていたコンポジットレジン・小さな虫歯を丁寧に全て取り除いたのち、歯全体を覆い虫歯の再発予防を期待できるセラミッククラウンで補綴を行います。
- 費用(概算)
- 66万円(仮歯・ジルコニアクラウン×6)費用は治療当時の料金となります
治療について
コンポジットレジン修復は小さな虫歯を除去したのちの充填には向きますが、充填箇所が複数になってくると審美障害や虫歯の再発リスクが高まります。
セラミック治療の注意事項(リスク・副作用など)
- 天然歯を削ります
- 硬い素材は天然歯を傷つけてしまう場合があります
- かみ合わせや歯ぎしりが強すぎる方はセラミックが割れてしまう可能性があります
- 自費診療(保険適用外治療)となります
当サイトの内容、テキスト、画像等の無断転載、複製、複写、盗用を固く禁じます。








