症例詳細
Case detail
矯正治療が終了し、前歯を治したい
治療症例の内容
- 診療科目
- 治療カテゴリ
- 担当医
- 菊地俊介(ドクタープロフィール)
- 患者様
- 20代女性
- 治療期間
- 1ヶ月
- 治療回数
- 2-5回
- 治療計画
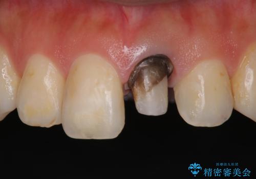
- 矯正前に仮歯にしていた前歯を矯正治療終了後にセラミックによる治療を希望された患者様です。
- 費用(概算)
- 10万円 TAX費用は治療当時の料金となります
治療について
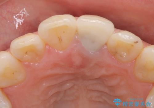
プラスチックのものから綺麗なセラミックになり喜んでいただきました。
セラミック治療の注意事項(リスク・副作用など)
- 天然歯を削ります
- 硬い素材は天然歯を傷つけてしまう場合があります
- かみ合わせや歯ぎしりが強すぎる方はセラミックが割れてしまう可能性があります
- 自費診療(保険適用外治療)となります
当サイトの内容、テキスト、画像等の無断転載、複製、複写、盗用を固く禁じます。







