症例詳細
Case detail
変色した樹脂の詰め物 セラミックでのやり替え
治療症例の内容
- 診療科目
- 治療カテゴリ
- 担当医
- 岡田康成(ドクタープロフィール)
- 患者様
- 20代女性
- 治療期間
- 1ヶ月
- 治療回数
- 2-5回
- 治療計画
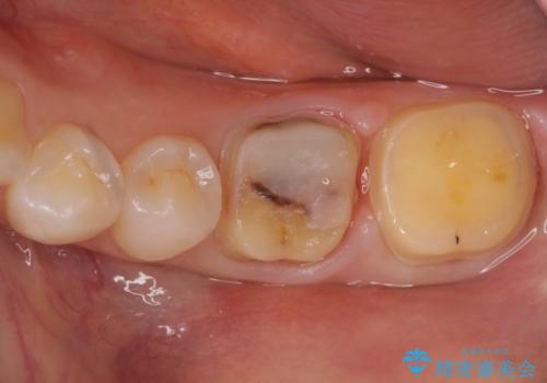
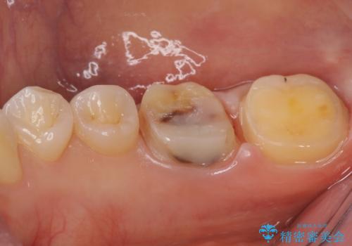
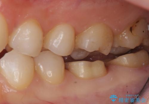
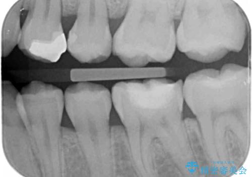
- 矯正前の虫歯治療です。
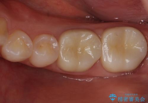
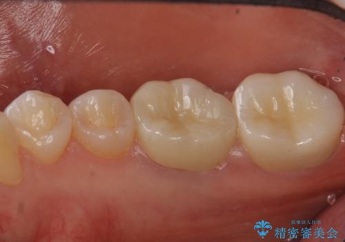
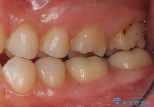
奥歯が樹脂の詰め物で継ぎ接ぎになっていることが確認されたため、今後の虫歯リスクを減らすために適合の良いフルジルコニアクラウンを入れていきます。
- 費用(概算)
- 左下67 仮歯+フルジルコニアクラウン 22,000円+154,000円費用は治療当時の料金となります
治療について
樹脂で継ぎ接ぎになった歯はそうでない歯と比べて虫歯になるリスクが高いです。
樹脂をすべて取り、虫歯も取り切った後に適合の良いクラウンを装着することで今後の虫歯リスクを減らすことができます。
セラミック治療の注意事項(リスク・副作用など)
- 天然歯を削ります
- 硬い素材は天然歯を傷つけてしまう場合があります
- かみ合わせや歯ぎしりが強すぎる方はセラミックが割れてしまう可能性があります
- 自費診療(保険適用外治療)となります
当サイトの内容、テキスト、画像等の無断転載、複製、複写、盗用を固く禁じます。











