症例詳細
Case detail
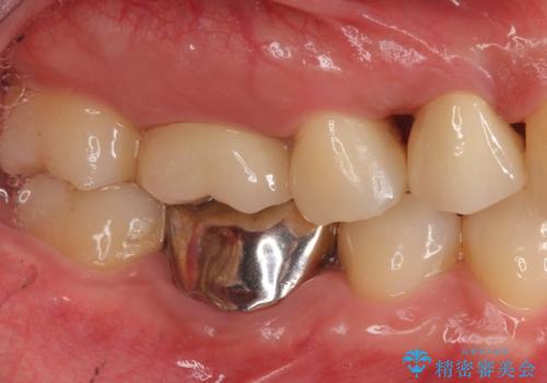
保険治療では抜歯適応になる歯 抜歯せずに保存(エクストリュージョン)
治療症例の内容
- 患者様
- 20代男性
- 治療期間
- 10ヶ月
- 治療回数
- 5-10回
- 治療計画
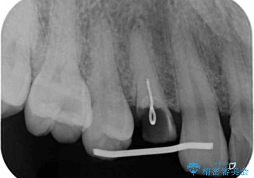
- 上の歯が大きく欠けたとのことで来院されました。
検査の結果、虫歯が大きくなりすぎたせいで薄くなった歯が欠けてしまった経緯が考えられました。
レントゲン画像上で歯茎の深いところまで虫歯になっており、保険治療では抜歯適応になってしまいます。
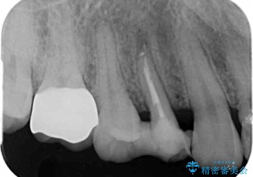
今回は虫歯の深いところが歯茎のラインにくるまで部分矯正で引っ張り出し、適合の良いかぶせ物を装着しました。
- 費用(概算)
- 右上4 253,000円(部分矯正(エクストリュージョン):110,000円 歯周外科治療:エクストリュージョン代に含まれます 根管治療:保険 ファイバーコア:22,000円 仮歯:11,000円 ジルコニアクラウン:110,000円)費用は治療当時の料金となります
治療について
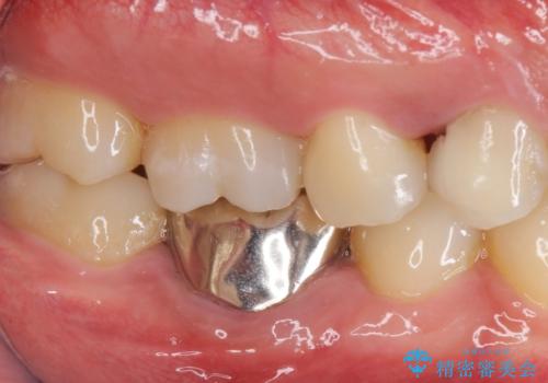
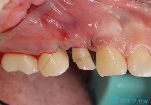
初診時の状態では虫歯が大きすぎて取り切ることができなかったため、まず歯を骨から引きあげて虫歯がしっかり除去できる状態にしました。
虫歯を取り切った後は、歯を引きあげたことで一緒に上がってきてしまった骨をならしていきます。
その後ラバーダムをして根っこの治療をし、被せ物を被せて治療終了となりました。
保険適用内だと抜歯の選択肢しかないような歯でも保険外の治療をすると残すことができる場合があります。
歯を抜かずに良い状態で保存できたことで大変喜んでいただけました。
セラミック治療の注意事項(リスク・副作用など)
- 天然歯を削ります
- 硬い素材は天然歯を傷つけてしまう場合があります
- かみ合わせや歯ぎしりが強すぎる方はセラミックが割れてしまう可能性があります
- 自費診療(保険適用外治療)となります
ワイヤー矯正の注意事項(リスク・副作用など)
- 治療中は違和感や痛みが起こることがあります
- 症状により、抜歯が必要な場合があります
- 治療中は歯磨きがしにくくなるため、虫歯や歯周病になりやすくなります
- 矯正治療後の保定が不十分だと後戻り(元の位置に戻ろうとする動き)をします
- 自費診療(保険適用外)となります
歯周病治療の注意事項(リスク・副作用など)
- 外科手術のため、術後に痛みや腫れ、違和感を伴います
- 歯周組織再生治療は患者様の状態によって術後の経過が異なります(見た目が改善しない場合もあります)
- 歯周組織再生治療は自費診療(保険適用外)となります
当サイトの内容、テキスト、画像等の無断転載、複製、複写、盗用を固く禁じます。
















