症例詳細
Case detail
樹脂の詰め物をセラミックで修復
治療症例の内容
- 診療科目
- 担当医
- 岡田康成(ドクタープロフィール)
- 患者様
- 20代男性
- 治療期間
- 1ヶ月
- 治療回数
- 2-5回
- 治療計画
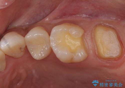
- 矯正後の虫歯治療です。
初めは一番奥の歯の樹脂の詰め物のやり替えをする予定でしたが、予想よりも歯の厚みが取れなかったため破折リスクを抑えることを目的にクラウンで修復処置を行いました。
その際手前の歯にも虫歯が確認されたため、こちらはインレーでの修復処置を行いました。
- 費用(概算)
- 左上6:セラミックインレー/77,000円 左上7:仮歯+ジルコニアクラウン/11,000+110,000円費用は治療当時の料金となります
治療について
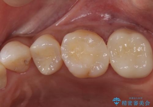
詰め物の除去をした結果、残った歯が少ないと今後の破折リスクを考慮しクラウンをおすすめすることがあります。
今回はしみる症状も抑えられ、偶然見つかった虫歯も取り切ることができ大変喜んでいただけました。
セラミック治療の注意事項(リスク・副作用など)
- 天然歯を削ります
- 硬い素材は天然歯を傷つけてしまう場合があります
- かみ合わせや歯ぎしりが強すぎる方はセラミックが割れてしまう可能性があります
- 自費診療(保険適用外治療)となります
当サイトの内容、テキスト、画像等の無断転載、複製、複写、盗用を固く禁じます。





