症例詳細
Case detail
奥歯が欠けた セラミックインレーでの治療
治療症例の内容
- 診療科目
- 治療カテゴリ
- 担当医
- 岡田康成(ドクタープロフィール)
- 患者様
- 30代男性
- 治療期間
- 1ヶ月
- 治療回数
- 2-5回
- 治療計画
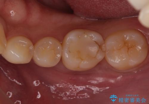
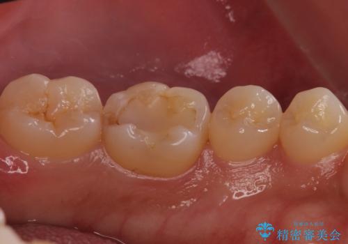
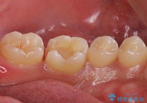
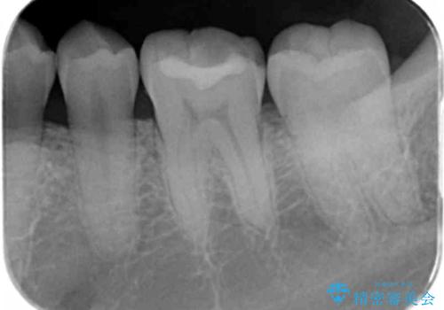
- 奥歯が欠けたとのことで来院されました。
白い詰め物をご希望されたため、セラミックインレーでの治療を行います。
- 費用(概算)
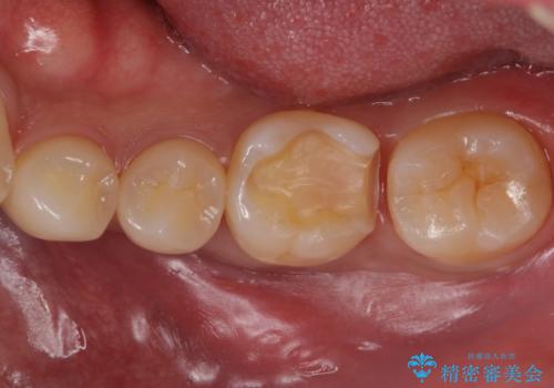
- 左下6 セラミックインレー 77,000円×1本費用は治療当時の料金となります
治療について
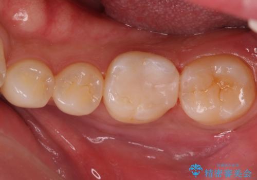
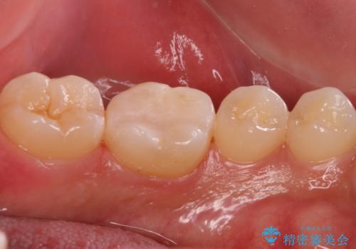
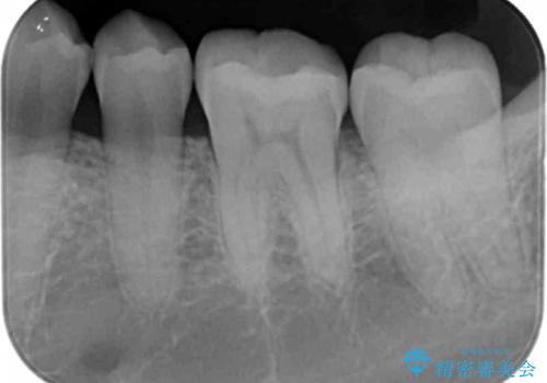
治療前後で比べると、詰め物と歯の間のすき間もなくなりセラミックインレーの適合の良さが伺えます。
セラミック治療の注意事項(リスク・副作用など)
- 天然歯を削ります
- 硬い素材は天然歯を傷つけてしまう場合があります
- かみ合わせや歯ぎしりが強すぎる方はセラミックが割れてしまう可能性があります
- 自費診療(保険適用外治療)となります
当サイトの内容、テキスト、画像等の無断転載、複製、複写、盗用を固く禁じます。








