症例詳細
Case detail
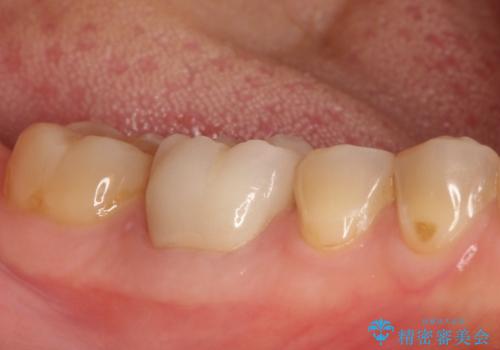
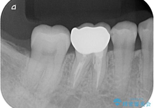
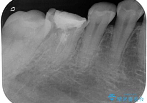
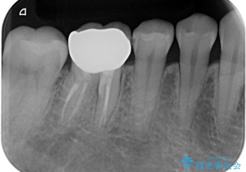
【精密根管治療】間違った根管形成→パフォレーションリペアによる修復
治療症例の内容
- 担当医
- 河口智英(ドクタープロフィール)
- 患者様
- 30代女性
- 治療期間
- 2ヶ月
- 治療回数
- 2-5回
- 治療計画
- 他院で根管治療を行なっていたが、以下のような不信感があり転院されてきた患者様です。
・ラバーダムを使用しない
・薬の交換と言って何回も通院しており、いつまで続くかわからない。
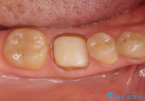
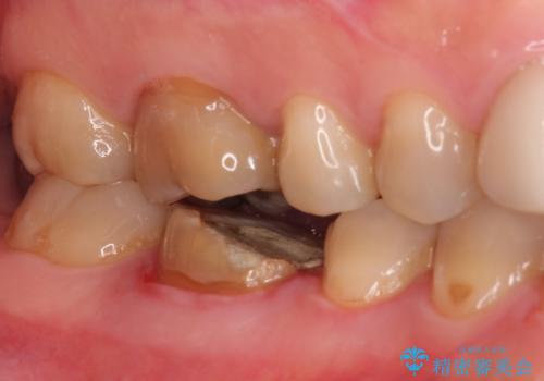
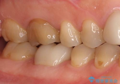
根管内を見てみると、近心根は本来の根管とは違うところを削られて髄床底でパーフォレーションを起こしていました。
また、遠心根でも本来の根管とは逸脱した方向に根管形成されていましたが、修正し充填を行っています。
- 費用(概算)
- 28万円費用は治療当時の料金となります
治療について
パーフォレーション部位に関しては、口腔内との交通がなければMTAセメントを用いて修復することで、高い予知性を期待できます。
根管治療の注意事項(リスク・副作用など)
- 根管治療により類似の全ての症例の問題が解決するわけではなく、症例はあくまでも一例です
- 根管治療により痛みや腫れがひかない事や、術後に痛みや腫れが生じる事、治療によるファイル破折やパーフォレーションなどの偶発症、術後の歯根破折を生じる可能性もあります
- 自費診療(保険適用外)となります
セラミック治療の注意事項(リスク・副作用など)
- 天然歯を削ります
- 硬い素材は天然歯を傷つけてしまう場合があります
- かみ合わせや歯ぎしりが強すぎる方はセラミックが割れてしまう可能性があります
- 自費診療(保険適用外治療)となります
当サイトの内容、テキスト、画像等の無断転載、複製、複写、盗用を固く禁じます。














