症例詳細
Case detail
銀の詰め物が取れた。
治療症例の内容
- 診療科目
- 治療カテゴリ
- 担当医
- 青山卓弘(ドクタープロフィール)
- 患者様
- 40代女性
- 治療期間
- 1ヶ月
- 治療回数
- 2-5回
- 治療計画
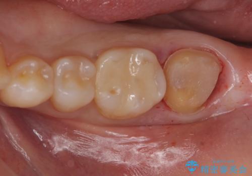
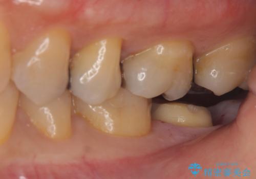
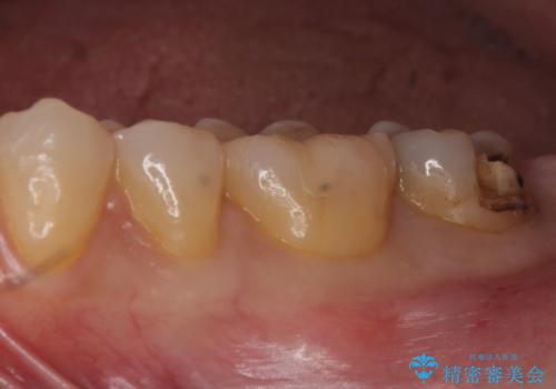
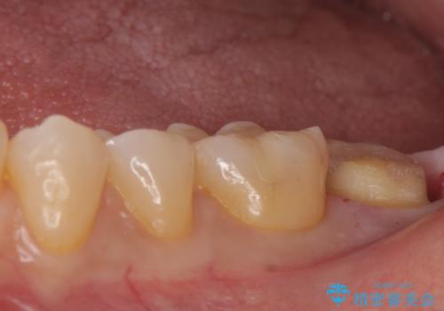
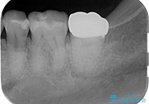
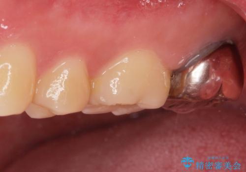
- 銀の詰め物が取れたとのことで来院。
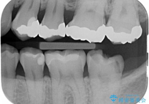
詰め物の下には虫歯がありました。
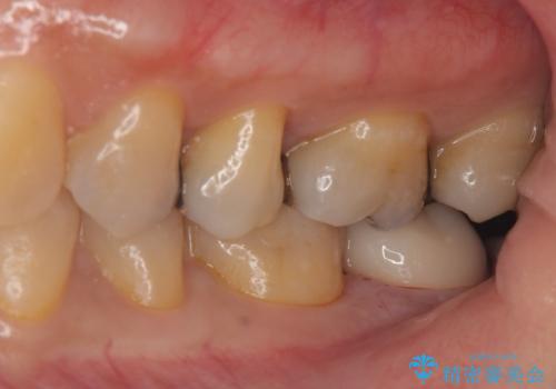
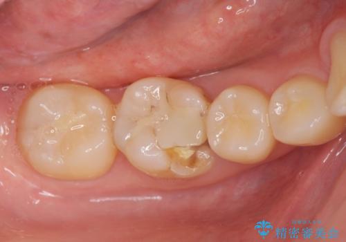
白い物で治療して欲しいとのことで、セラミックの詰め物だと詰め物の範囲が大きく、割れてしまう可能性があるので
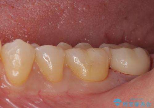
ジルコニアクラウン(被せもの)で治療を行いました。
- 費用(概算)
- 仮歯・ジルコニアクラウン 12.1万円費用は治療当時の料金となります
治療について
銀の詰め物はかなり昔に治療されたそうです。
銀の詰め物は虫歯の再発リスクが高く、歯に痛みが出てしまうと歯の神経の治療もしないとならなくなってしまいます。
定期的なメンテナンスを行うことが大切です。
セラミック治療の注意事項(リスク・副作用など)
- 天然歯を削ります
- 硬い素材は天然歯を傷つけてしまう場合があります
- かみ合わせや歯ぎしりが強すぎる方はセラミックが割れてしまう可能性があります
- 自費診療(保険適用外治療)となります
その他の注意事項(リスク・副作用など)
- 担当歯科医師、歯科衛生士又は医院スタッフから受けた説明・注意事項をよくご確認ください
- 医療を提供するに当たり、適切な説明を行い、患者様の十分な理解を得るよう努めております
当サイトの内容、テキスト、画像等の無断転載、複製、複写、盗用を固く禁じます。











