症例詳細
Case detail
抜歯と言われた奥歯を残したい 奥歯を保存するセラミック治療
治療症例の内容
- 診療科目
- 担当医
- 藤巻太一朗(ドクタープロフィール)
- 患者様
- 40代女性
- 治療期間
- 3ヶ月
- 治療回数
- 2-5回
- 治療計画
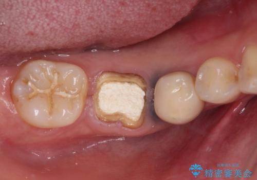
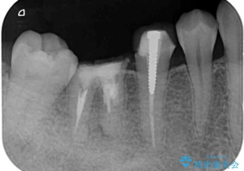
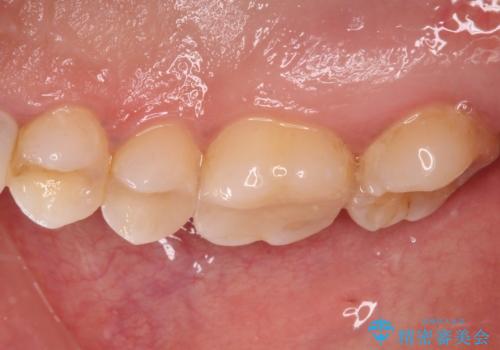
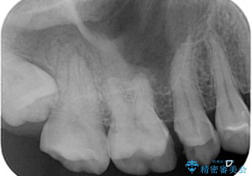
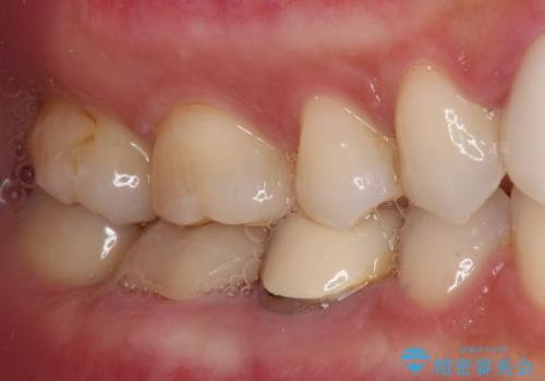
- 他院で治療を開始したものの抜歯が必要と言われ、何とか残せないものかとのことで来院された患者様です。
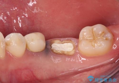
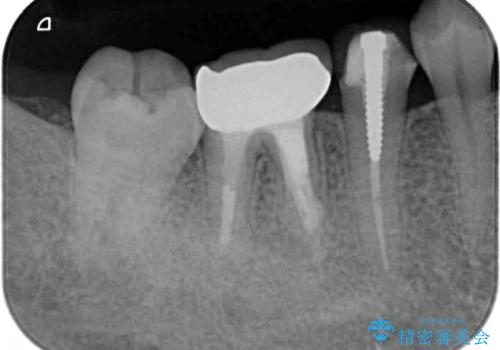
下顎大臼歯は歯冠部分が残っておらず、保存が難しいように思えましたが、まずは根管治療を行った上で補綴治療を行うこととしました。
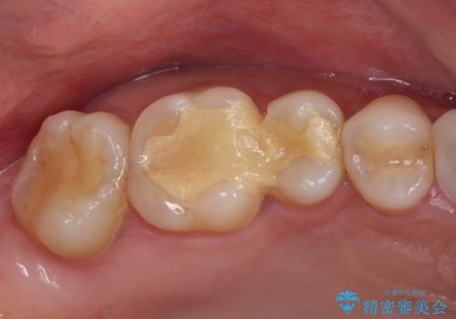
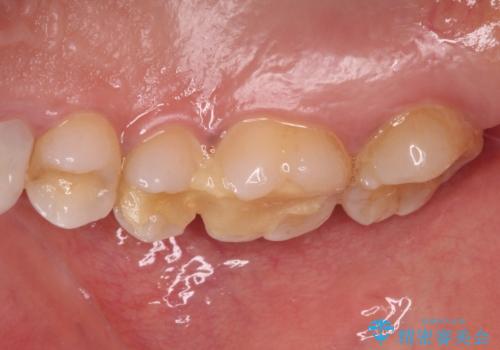
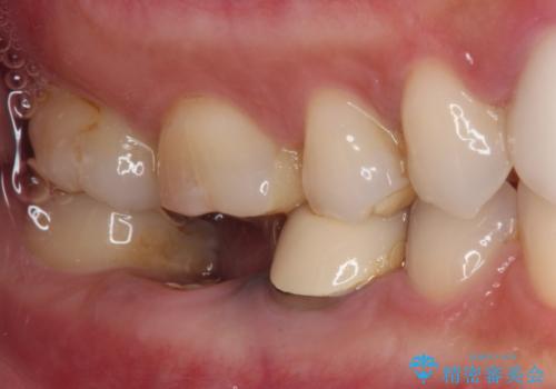
上顎臼歯は、おそらく銀歯を外して仮詰めされていたため、再度形を整え、セラミックインレーにて修復治療を行うこととしました。
- 費用(概算)
- 治療費の目安: 45万円(税込)費用は治療当時の料金となります
治療について
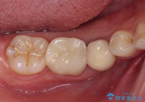
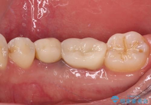
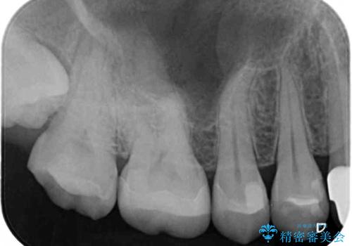
奥歯は抜歯をせずに保存することができました。ただし、状態は決して良いとは言えないため、定期的に経過を見ていく必要があります。
セラミック治療の注意事項(リスク・副作用など)
- 天然歯を削ります
- 硬い素材は天然歯を傷つけてしまう場合があります
- かみ合わせや歯ぎしりが強すぎる方はセラミックが割れてしまう可能性があります
- 自費診療(保険適用外治療)となります
当サイトの内容、テキスト、画像等の無断転載、複製、複写、盗用を固く禁じます。














