症例詳細
Case detail
早くて安くて楽ちん メタルブラケットでの矯正治療
治療症例の内容
- 診療科目
- 治療カテゴリ
- 担当医
- 藤巻太一朗(ドクタープロフィール)
- 患者様
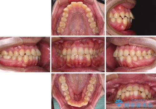
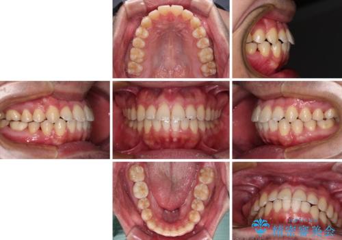
- 30代男性
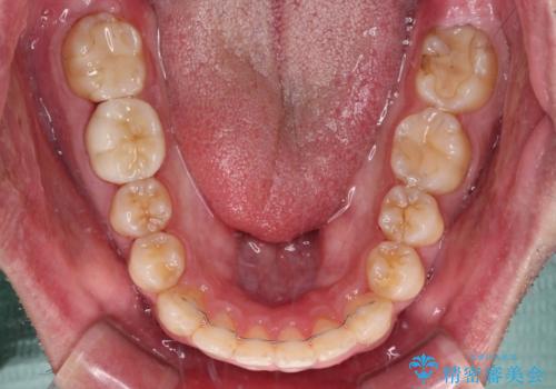
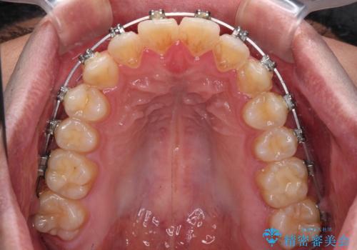
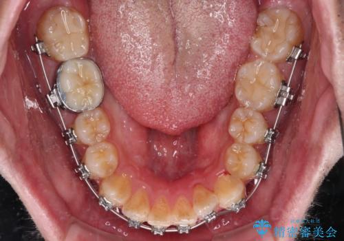
- 矯正装置
- メタルブラケット
- 治療期間
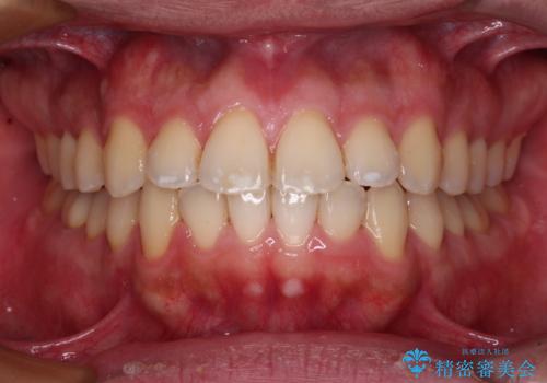
- 9ヶ月
- 治療回数
- 5-10回
- 治療計画
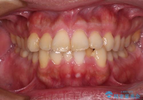
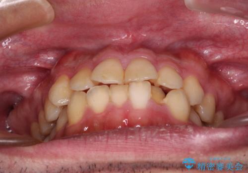
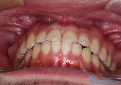
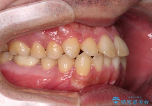
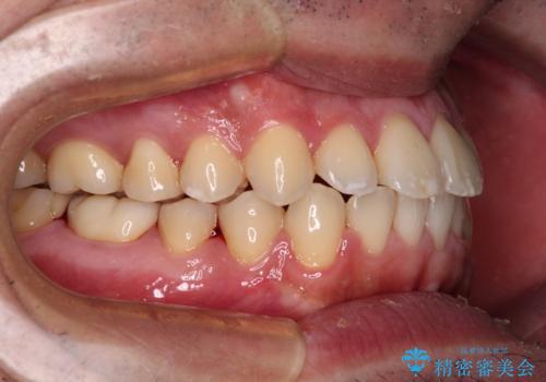
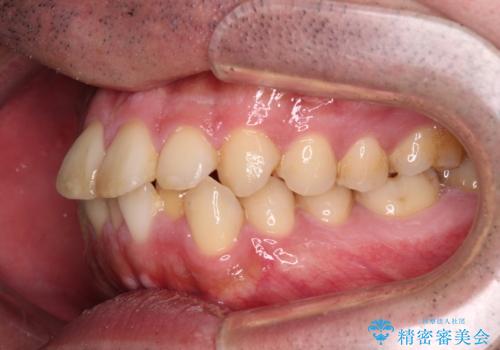
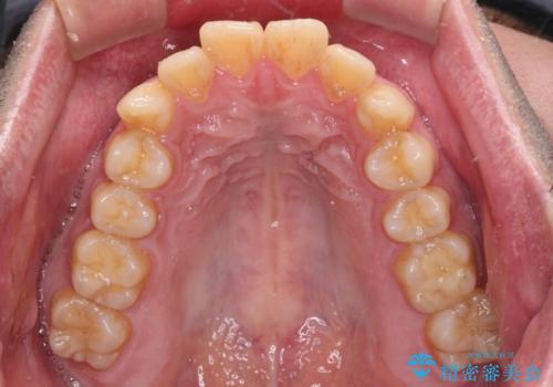
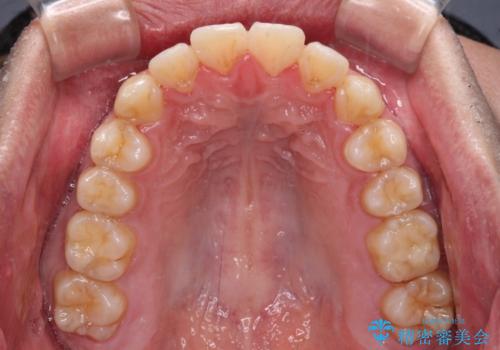
- 前歯のデコボコを治したいとのことで来院された患者様です。
できる限り楽して、短期間で治したいとのことで、ワイヤー装置にて矯正治療を行うこととしました。
- 費用(概算)
- 治療費の目安: 80万円(税込)費用は治療当時の料金となります
治療について
インビザラインなどのマウスピース矯正は、楽に治療できると思われている方もいらっしゃると思いますが、毎日ストイックに22時間の装着を続けていくことは、決して楽なことではありません。
楽して治療したい方には、ワイヤー矯正がお勧めです。
ワイヤー矯正の注意事項(リスク・副作用など)
- 治療中は違和感や痛みが起こることがあります
- 症状により、抜歯が必要な場合があります
- 治療中は歯磨きがしにくくなるため、虫歯や歯周病になりやすくなります
- 矯正治療後の保定が不十分だと後戻り(元の位置に戻ろうとする動き)をします
- 自費診療(保険適用外)となります
当サイトの内容、テキスト、画像等の無断転載、複製、複写、盗用を固く禁じます。

























