症例詳細
Case detail
食事の度に痛む 根管治療とオールセラミッククラウン
治療症例の内容
- 診療科目
- 担当医
- 藤巻太一朗(ドクタープロフィール)
- 患者様
- 50代女性
- 治療期間
- 1ヶ月
- 治療回数
- 2-5回
- 治療計画
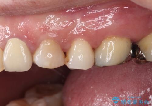
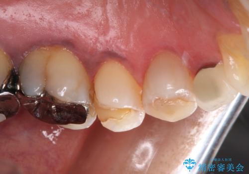
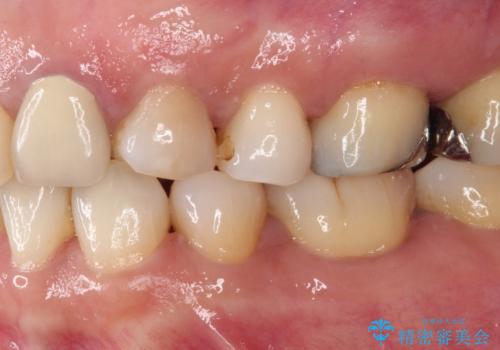
- 食事の度に痛みを感じるとのことで来院された患者様です。
診査の結果、既に歯の神経は失活していたおり、叩いたり触ったりしたときの痛みも確認されました。
まずは根管治療を行い、その後にオールセラミッククラウンにて補綴することとしました。
- 費用(概算)
- 治療費の目安: 23万円(税込)費用は治療当時の料金となります
治療について
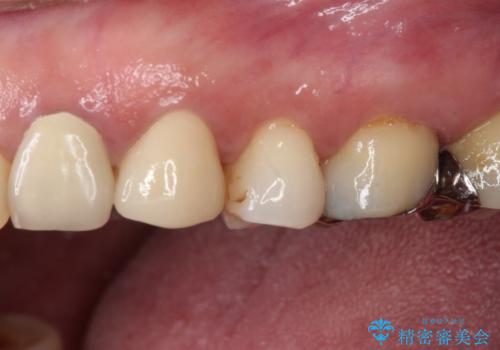
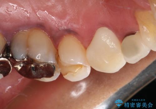
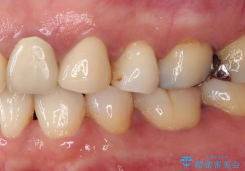
著しい八重歯であったそうで、一般的に抜歯を行う第一小臼歯ではなく八重歯を抜歯して矯正治療を行ったとのことでした。
補綴治療では歯の形態を犬歯に近づけ、将来的な歯根への負担を軽減できるようにしました。
補綴後6ヶ月経過しレントゲンを撮影したところ、歯根周辺に病変認められず、良好な経過をたどっていることが分かりました。
セラミック治療の注意事項(リスク・副作用など)
- 天然歯を削ります
- 硬い素材は天然歯を傷つけてしまう場合があります
- かみ合わせや歯ぎしりが強すぎる方はセラミックが割れてしまう可能性があります
- 自費診療(保険適用外治療)となります
根管治療の注意事項(リスク・副作用など)
- 根管治療により類似の全ての症例の問題が解決するわけではなく、症例はあくまでも一例です
- 根管治療により痛みや腫れがひかない事や、術後に痛みや腫れが生じる事、治療によるファイル破折やパーフォレーションなどの偶発症、術後の歯根破折を生じる可能性もあります
- 自費診療(保険適用外)となります
当サイトの内容、テキスト、画像等の無断転載、複製、複写、盗用を固く禁じます。












