症例詳細
Case detail
閉じにくい口元と八重歯 ワイヤー装置での抜歯矯正
治療症例の内容
- 診療科目
- 担当医
- 藤巻太一朗(ドクタープロフィール)
- 患者様
- 20代女性
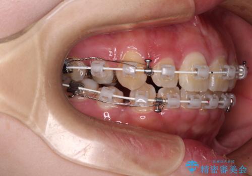
- 矯正装置
- 審美装置
- 治療期間
- 1年7ヶ月
- 治療回数
- 10-30回
- 治療計画
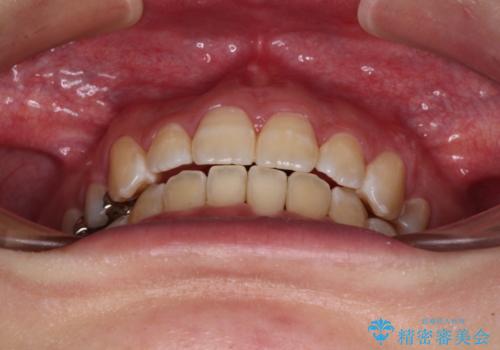
- 八重歯と口の閉じにくさを気にして来院された患者様です。
上下ともに前歯が前方に突出し、八重歯が唇に引っかかる感じもあり、口が閉じにくくなっていました。
上下左右の第一小臼歯4本を抜歯し、口元の突出感を改善しながら八重歯を解消していくこととしました。
- 費用(概算)
- 治療費の目安: 105万円(税込)費用は治療当時の料金となります
治療について
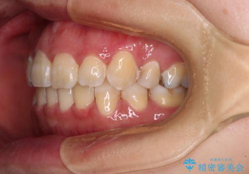
スペースを閉じるステージでの移動がとても早く、1年半ほどで終えることができました。
唇が引っかかる感触もなくなり、口が閉じやすくなりました。
ワイヤー矯正の注意事項(リスク・副作用など)
- 治療中は違和感や痛みが起こることがあります
- 症状により、抜歯が必要な場合があります
- 治療中は歯磨きがしにくくなるため、虫歯や歯周病になりやすくなります
- 矯正治療後の保定が不十分だと後戻り(元の位置に戻ろうとする動き)をします
- 自費診療(保険適用外)となります
当サイトの内容、テキスト、画像等の無断転載、複製、複写、盗用を固く禁じます。


























