症例詳細
Case detail
見えないほど重なっている前歯 抜歯矯正でスッキリとした歯並びに
治療症例の内容
- 診療科目
- 治療カテゴリ
- 担当医
- 藤巻太一朗(ドクタープロフィール)
- 患者様
- 20代女性
- 矯正装置
- 審美装置
- 治療期間
- 2年
- 治療回数
- 10-30回
- 治療計画
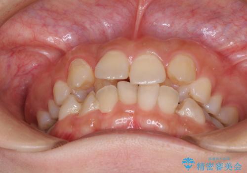
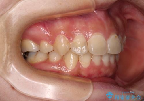
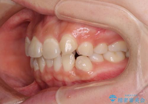
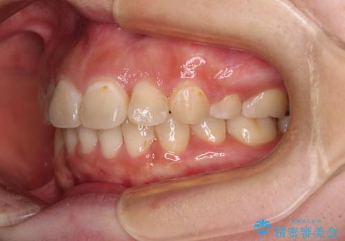
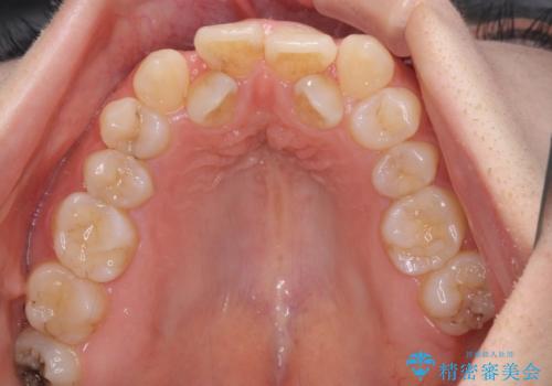
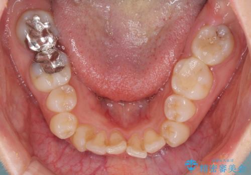
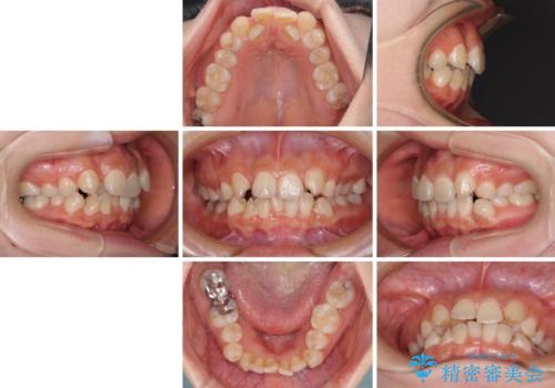
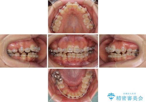
- 前歯の著しいデコボコを気にして来院された患者様です。
上顎の左右側切歯(前から2番目)が裏側に隠れいてる状態で、咬み合わせや清掃性に大きな問題が認められました。
左下に八重歯があったそうですが、当時は矯正治療を行うことを考えていなかったため、抜歯してしまったとのことでした。
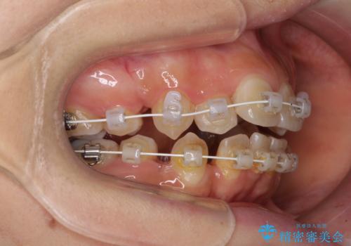
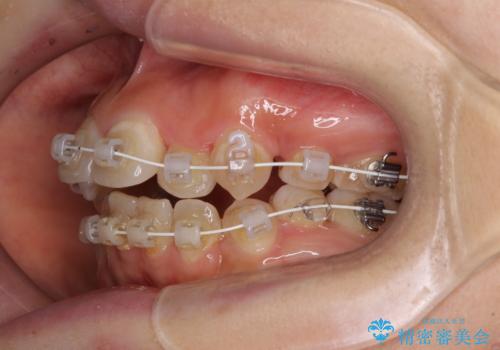
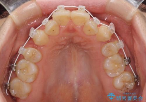
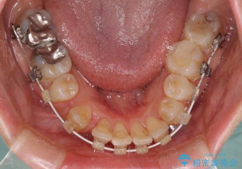
叢生が著しいため、左下以外の第一小臼歯3本を抜去し、目立たないワイヤー装置にて矯正治療を行うこととしました。
- 費用(概算)
- 治療費の目安: 105万円(税込)費用は治療当時の料金となります
治療について
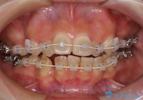
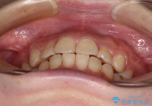
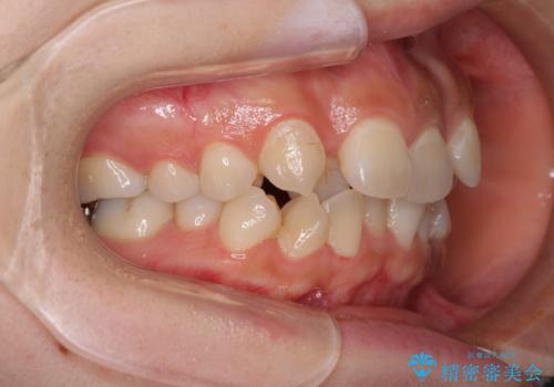
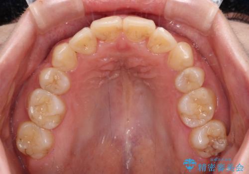
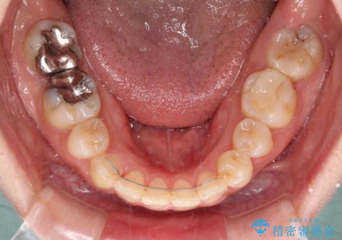
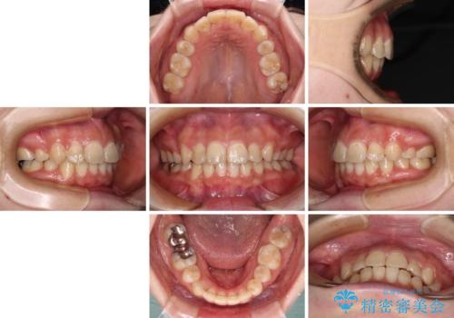
これほど顕著に裏側に隠れいてる歯ですと、仕上がったときに両隣の歯と軸に差が認められることが多いのですが、殆ど違和感のない歯並びを達成することができました。
ワイヤー矯正の注意事項(リスク・副作用など)
- 治療中は違和感や痛みが起こることがあります
- 症状により、抜歯が必要な場合があります
- 治療中は歯磨きがしにくくなるため、虫歯や歯周病になりやすくなります
- 矯正治療後の保定が不十分だと後戻り(元の位置に戻ろうとする動き)をします
- 自費診療(保険適用外)となります
当サイトの内容、テキスト、画像等の無断転載、複製、複写、盗用を固く禁じます。


























