症例詳細
Case detail
放置した虫歯 根管治療とオールセラミッククラウン
治療症例の内容
- 診療科目
- 担当医
- 藤巻太一朗(ドクタープロフィール)
- 患者様
- 20代女性
- 治療期間
- 2ヶ月
- 治療回数
- 2-5回
- 治療計画
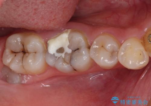
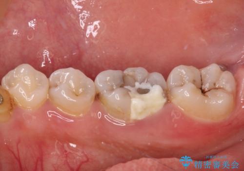
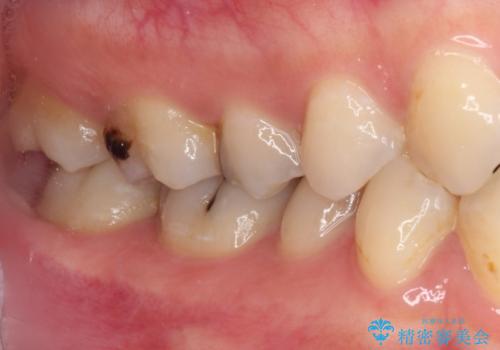
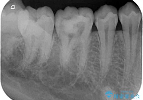
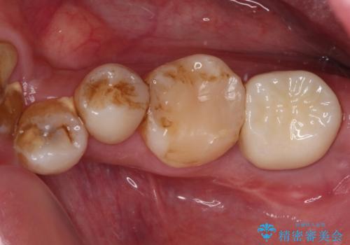
- 奥歯の虫歯を放置してしまい、痛みを感じることがあるとのことで来院された患者様です。
術前の診査では、神経を取り除かなくても済む可能性が示唆されましたが、実際に虫歯除去を進めたところ、レントゲン写真から読み取れる通り、神経組織にまで虫歯が及んでいることが分かりました。
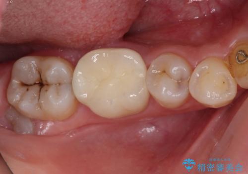
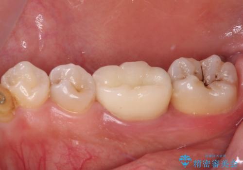
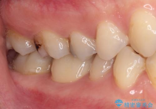
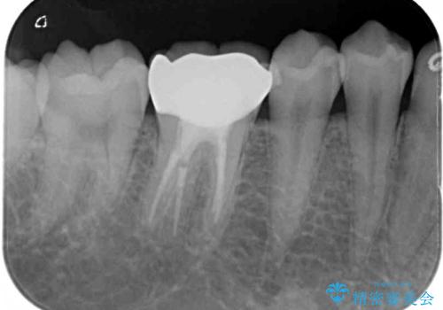
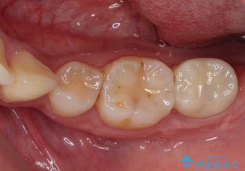
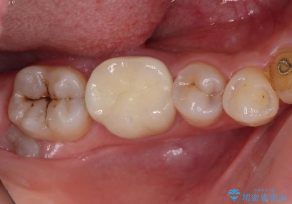
速やかにラバーダム下にて根管治療を行うこととし、その後オールセラミッククラウンにて補綴治療を行うこととしました。
- 費用(概算)
- 治療費の目安: 26万円(税込)費用は治療当時の料金となります
治療について
治療期間中、痛みが生じることはなく、処置後3か月経過しましたが良好な状態を保っています。
根管治療の注意事項(リスク・副作用など)
- 根管治療により類似の全ての症例の問題が解決するわけではなく、症例はあくまでも一例です
- 根管治療により痛みや腫れがひかない事や、術後に痛みや腫れが生じる事、治療によるファイル破折やパーフォレーションなどの偶発症、術後の歯根破折を生じる可能性もあります
- 自費診療(保険適用外)となります
セラミック治療の注意事項(リスク・副作用など)
- 天然歯を削ります
- 硬い素材は天然歯を傷つけてしまう場合があります
- かみ合わせや歯ぎしりが強すぎる方はセラミックが割れてしまう可能性があります
- 自費診療(保険適用外治療)となります
当サイトの内容、テキスト、画像等の無断転載、複製、複写、盗用を固く禁じます。













