症例詳細
Case detail
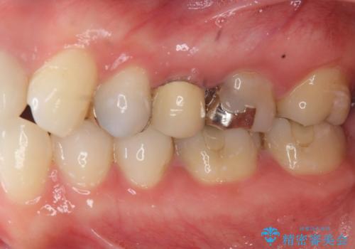
目立つ銀歯を白くしたい
治療症例の内容
- 診療科目
- 治療カテゴリ
- 担当医
- 大元洋佑(ドクタープロフィール)
- 患者様
- 20代女性
- 治療期間
- 2ヶ月
- 治療回数
- 2-5回
- 治療計画
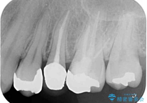
- 「笑った時に見えてしまう銀歯、古くなった修復物を白くきれいに治したい。」と希望され来院されました。
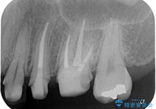
銀歯の下に再発していた虫歯を丁寧に取り除き、精密なセラミッククラウンで再治療を行います。
- 費用(概算)
- 36.3万円(仮歯・ジルコニアクラウン×3)費用は治療当時の料金となります
治療について
噛み合わせが強く、銀歯やクラウンは大きくする減ってしまっている状況でした。
噛み合わせをしっかり調整することで、安定した咬合関係を得ることができました。
セラミック治療の注意事項(リスク・副作用など)
- 天然歯を削ります
- 硬い素材は天然歯を傷つけてしまう場合があります
- かみ合わせや歯ぎしりが強すぎる方はセラミックが割れてしまう可能性があります
- 自費診療(保険適用外治療)となります
当サイトの内容、テキスト、画像等の無断転載、複製、複写、盗用を固く禁じます。







