症例詳細
Case detail
目立つ前歯の変色を改善したい
治療症例の内容
- 診療科目
- 治療カテゴリ
- 担当医
- 大元洋佑(ドクタープロフィール)
- 患者様
- 50代女性
- 治療期間
- 1ヶ月
- 治療回数
- 2-5回
- 治療計画
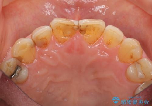
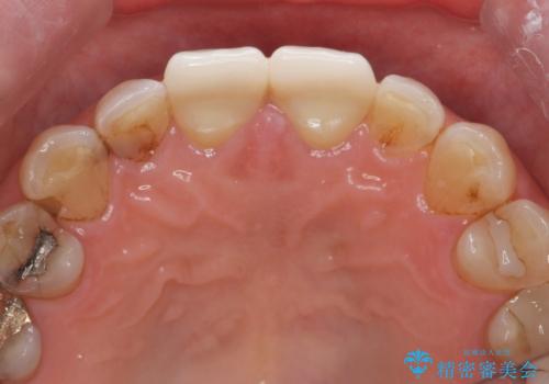
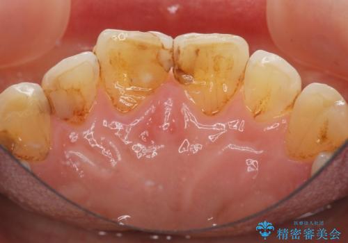
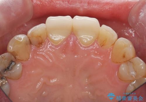
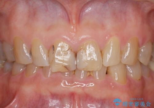
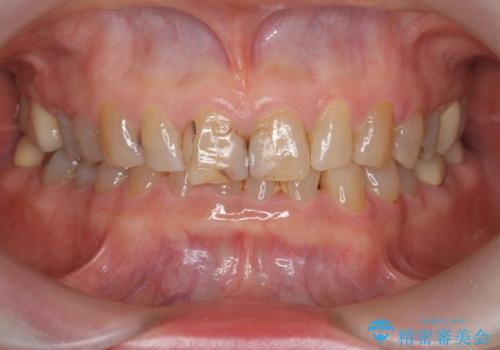
- 前歯の小さな虫歯を複数回治療した結果、つぎはぎだらけになってしまい審美的な改善を求めて来院されました。
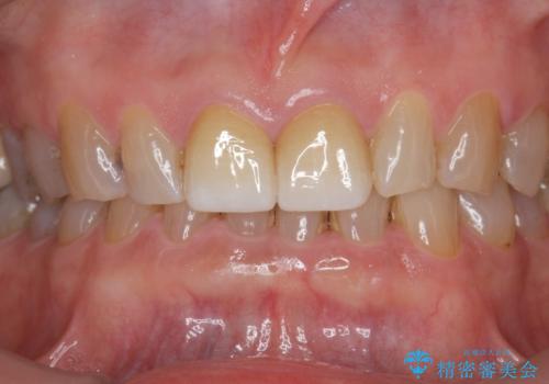
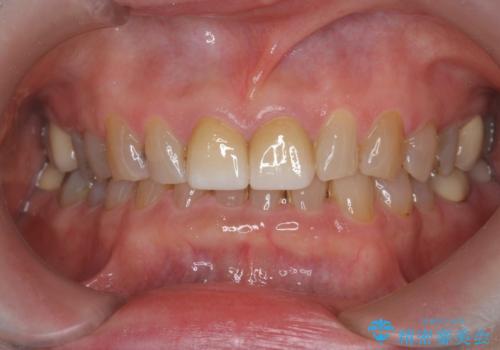
これ以上のコンポジットレジン修復は更なる審美障害を招きかねないので、全体を覆うセラミッククラウンを選択します。
ディープバイト・噛み合わせが強いことからフルジルコニアクラウンを選択しました。
- 費用(概算)
- 17.6万円(仮歯・フルジルコニアクラウン)費用は治療当時の料金となります
フルジルコニアクラウン治療について
フルジルコニアクラウンは全てジルコニアで生成されたセラミッククラウンで、前歯の噛み合わせが強い場合に切端の欠けを防ぎます。
セラミック治療の注意事項(リスク・副作用など)
- 天然歯を削ります
- 硬い素材は天然歯を傷つけてしまう場合があります
- かみ合わせや歯ぎしりが強すぎる方はセラミックが割れてしまう可能性があります
- 自費診療(保険適用外治療)となります
当サイトの内容、テキスト、画像等の無断転載、複製、複写、盗用を固く禁じます。












