症例詳細
Case detail
変色した前歯を治したい オールセラミッククラウンによる補綴
治療症例の内容
- 診療科目
- 治療カテゴリ
- 担当医
- 齋藤佑磨(ドクタープロフィール)
- 患者様
- 40代男性
- 治療期間
- 1ヶ月
- 治療回数
- 2-5回
- 治療計画
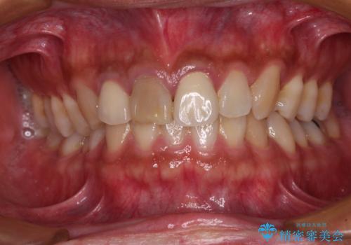
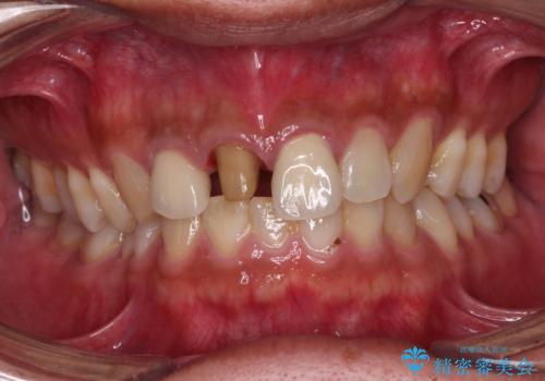
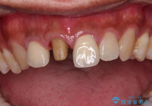
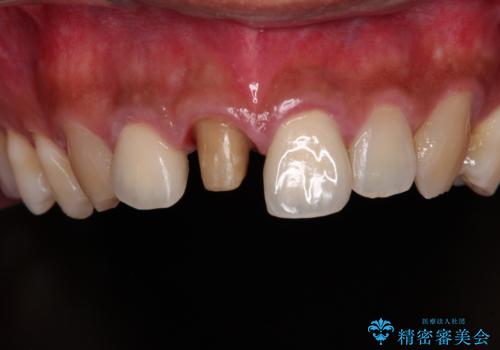
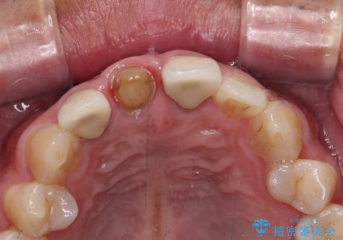
- 前歯の変色した歯を治したいことを主訴として来院された患者様です。
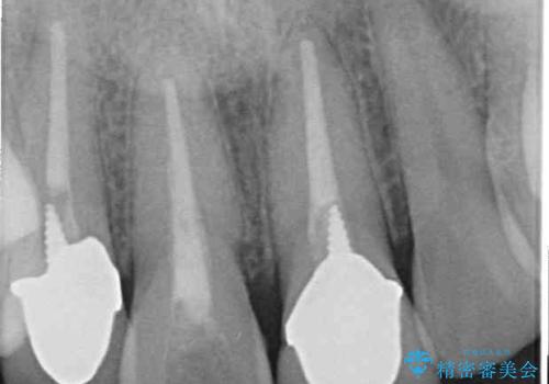
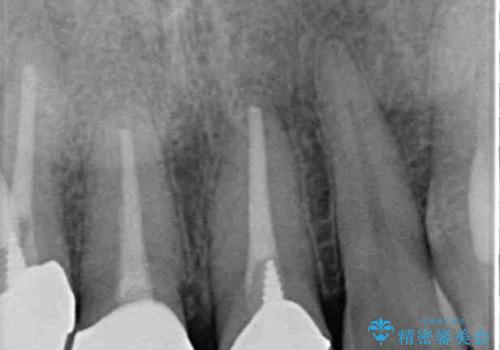
数年前、外傷により両隣の歯とともに根管治療を行い、その後両隣の歯はオールセラミッククラウンにて補綴したそうです。
時間の経過とともに、セラミックにしなかった当該歯の変色が目立つようになり、オールセラミッククラウンにて補綴することとしました。
- 費用(概算)
- 14万円(税込)費用は治療当時の料金となります
治療について
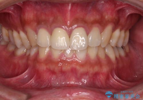
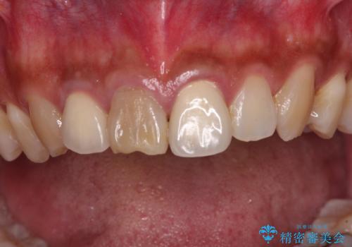
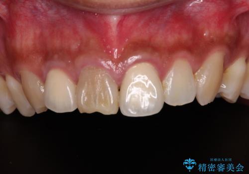
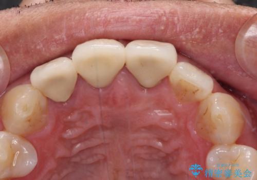
変色した歯はきれいになり、両隣の歯とも自然に馴染み、ご家族からも好評で大変満足されました。
セラミック治療の注意事項(リスク・副作用など)
- 天然歯を削ります
- 硬い素材は天然歯を傷つけてしまう場合があります
- かみ合わせや歯ぎしりが強すぎる方はセラミックが割れてしまう可能性があります
- 自費診療(保険適用外治療)となります
当サイトの内容、テキスト、画像等の無断転載、複製、複写、盗用を固く禁じます。














