症例詳細
Case detail
【MTAを用いた生活歯髄療法】神経に到達する深い虫歯
治療症例の内容
- 担当医
- 河口智英(ドクタープロフィール)
- 患者様
- 40代男性
- 治療期間
- 1ヶ月
- 治療回数
- 2-5回
- 治療計画
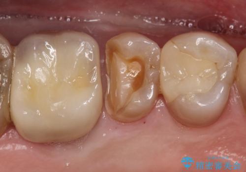
- 以前入れていた、詰め物が取れたことを主訴に来院されました。
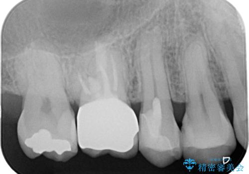
虫歯が深く、神経の部屋まで達していました。
術前の検査から、神経が保存できる可能性が高いため部分的断髄法を選択し治療を行いセラミックインレーにて修復しました。
- 費用(概算)
- 11万円費用は治療当時の料金となります
治療について
褐色の歯質を認めますが、テトラサイクリンによる変色のためカリエスの残存はありません。
セラミック治療の注意事項(リスク・副作用など)
- 天然歯を削ります
- 硬い素材は天然歯を傷つけてしまう場合があります
- かみ合わせや歯ぎしりが強すぎる方はセラミックが割れてしまう可能性があります
- 自費診療(保険適用外治療)となります
当サイトの内容、テキスト、画像等の無断転載、複製、複写、盗用を固く禁じます。










