症例詳細
Case detail
ワイヤー装置をインビザラインへ 装置変更での矯正治療
治療症例の内容
- 診療科目
- 担当医
- 藤巻太一朗(ドクタープロフィール)
- 患者様
- 30代男性
- 矯正装置
- インビザライン・審美装置
- 治療期間
- 1年2ヶ月
- 治療回数
- 10-30回
- 治療計画
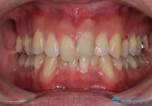
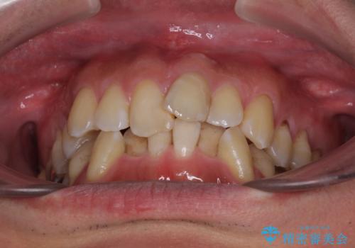
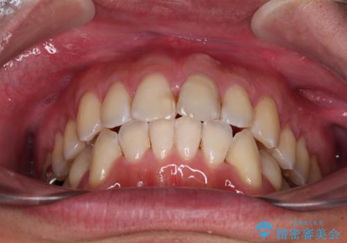
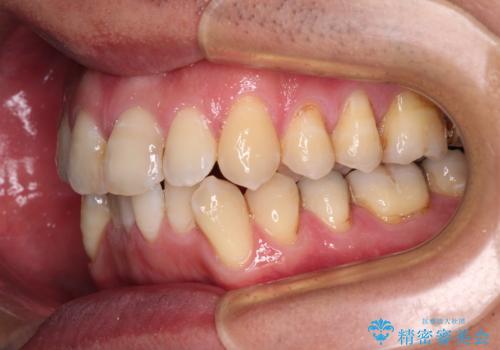
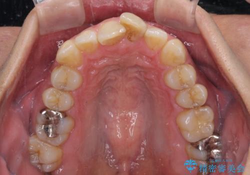
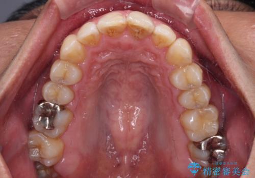
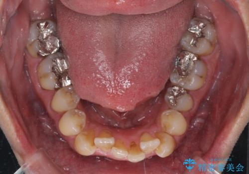
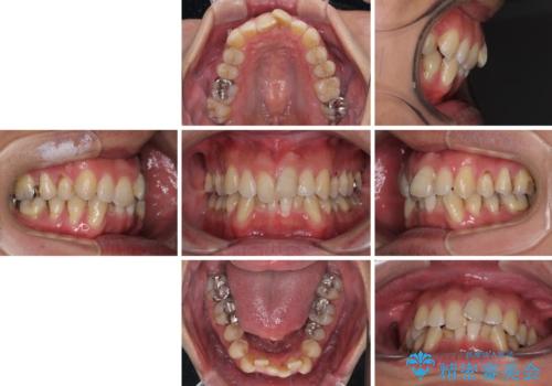
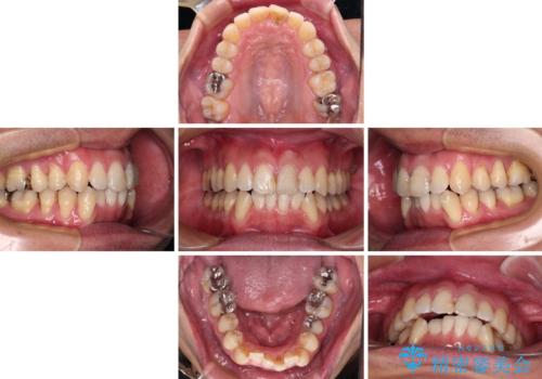
- 前歯のデコボコを気にして来院された患者様です。
下顎前歯のデコボコが特に強く、治療を早く終えることを考えるとワイヤー装置がお勧めですが、ワイヤー装置の異物感は避けたいのでインビザラインを希望されていました。
インビザラインで治療を行うか、ワイヤーで治療を行うかずっと悩んでいらっしゃいましたが、早く終わらせることを優先してワイヤー装置にて治療を行うこととしました。
- 費用(概算)
- 治療費の目安: 135万円(税込) (当初予定では90万円)費用は治療当時の料金となります
治療について
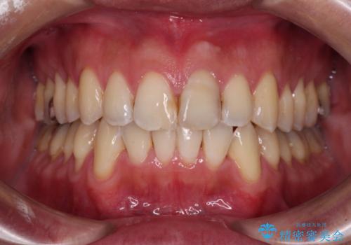
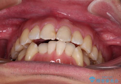
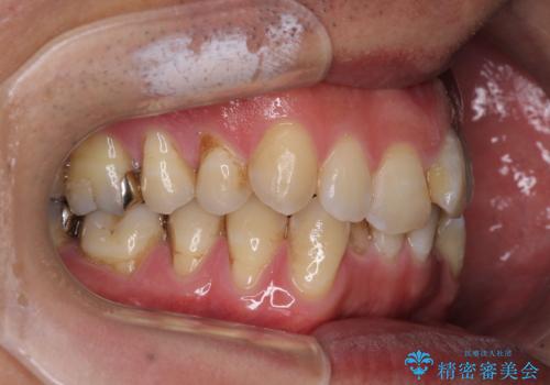
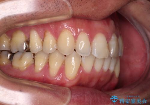
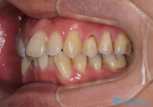
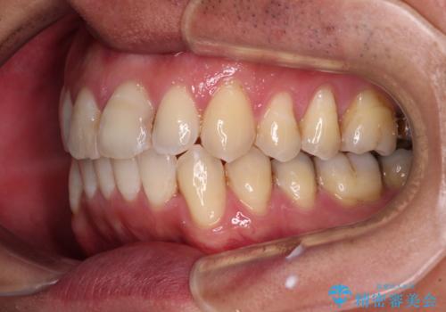
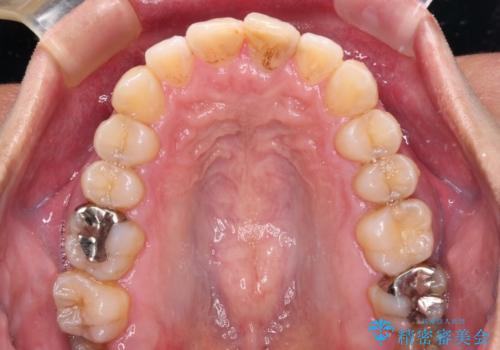
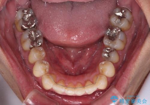
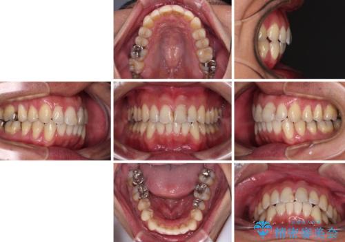
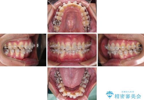
下顎にワイヤー装置を装着し、暫くしたところでやはりインビザラインにて矯正治療をしたいとのことで、インビザラインに切り替えました。
短い期間でしたがワイヤー装置を使用したことでデコボコが解消されたため、インビザラインの比較的短い期間で矯正治療を行うことができました。
ワイヤー矯正の注意事項(リスク・副作用など)
- 治療中は違和感や痛みが起こることがあります
- 症状により、抜歯が必要な場合があります
- 治療中は歯磨きがしにくくなるため、虫歯や歯周病になりやすくなります
- 矯正治療後の保定が不十分だと後戻り(元の位置に戻ろうとする動き)をします
- 自費診療(保険適用外)となります
マウスピース矯正の注意事項(リスク・副作用など)
- 口腔内・歯並びの状態によっては対応できない場合があります
- マウスピース型矯正装置の長時間装着(1日20時間以上)が必須です
- 治療計画通りに進めるためには、患者様の意志が重要になります
- 矯正治療後の保定が不十分だと後戻り(元の位置に戻ろうとする動き)をします
- 薬機法対象外の矯正歯科装置のため医薬品副作用被害救済制度の対象外となる場合があります
- 自費診療(保険適用外)となります
当サイトの内容、テキスト、画像等の無断転載、複製、複写、盗用を固く禁じます。




























