症例詳細
Case detail
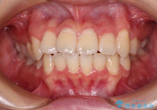
【モニター】八重歯と前歯のクロスバイト ワイヤーを併用しインビザラインで矯正治療
治療症例の内容
- 診療科目
- 担当医
- 藤巻太一朗(ドクタープロフィール)
- 患者様
- 20代女性
- 矯正装置
- 審美装置・インビザライン
- 治療期間
- 1年6ヶ月
- 治療回数
- 5-10回
- 治療計画
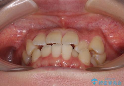
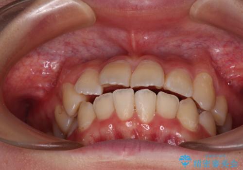
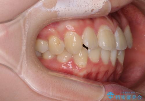
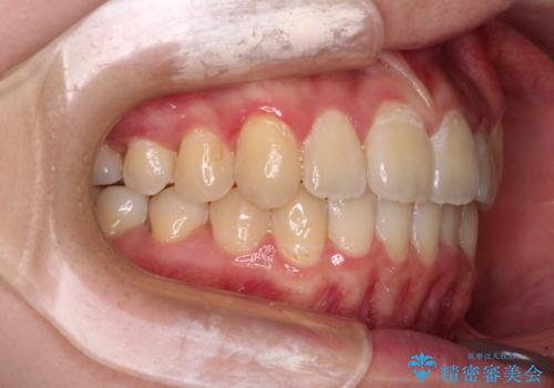
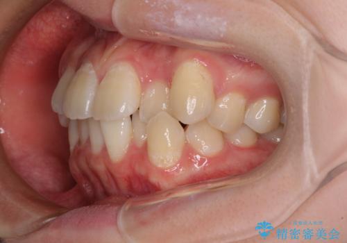
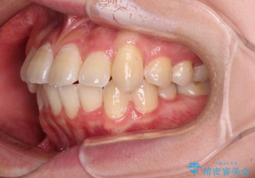
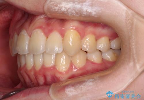
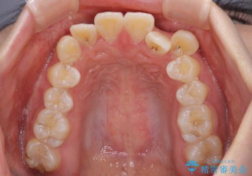
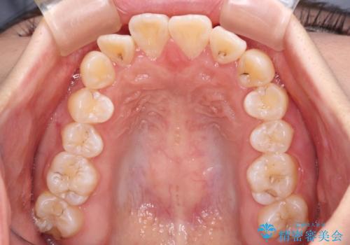
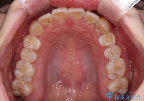
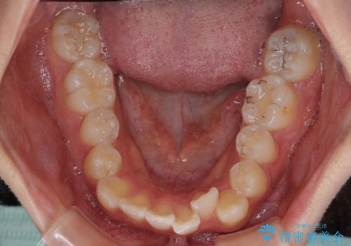
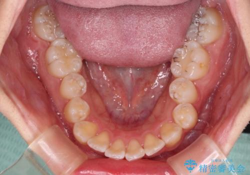
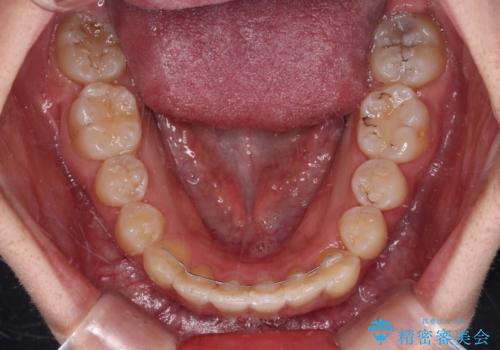
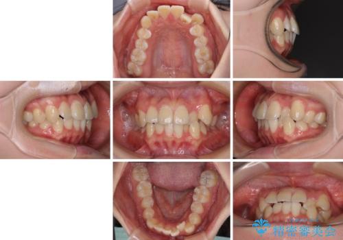
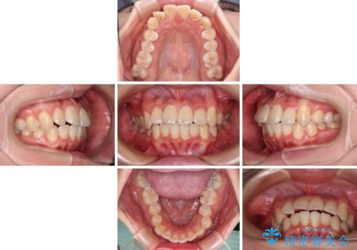
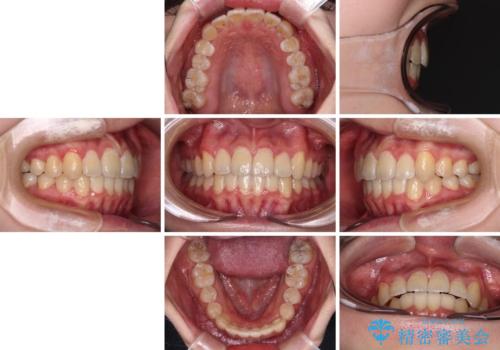
- 前歯のデコボコと八重歯を気にして来院された患者様です。
インビザラインでの治療を希望されていましたが、前歯のクロスバイトや下顎小臼歯の捻転が認められたため、インビザライン単独で治療を行うよりも、ワイヤー装置を併用した方が、治療期間の短縮やトラブル回避できると判断し、ワイヤー装置を併用することとしました。
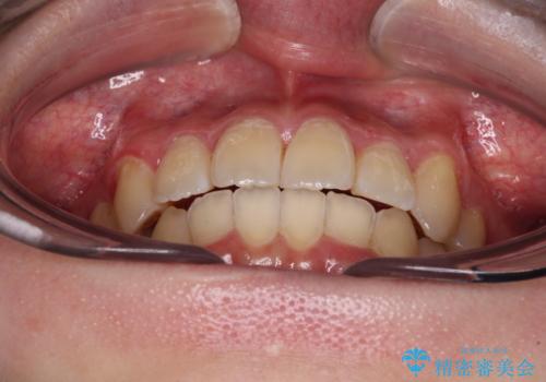
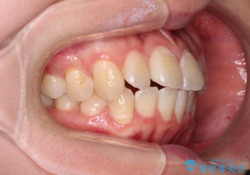
まずはワイヤー装置により前歯のクロスバイトと下顎小臼歯の捻転を改善し、その後インビザラインにより全体を整える矯正治療を行うこととしました。
- 費用(概算)
- 治療費の目安: 77万円(税込)費用は治療当時の料金となります
※顔写真掲載にあたり、患者様の了解を得ております
治療について
前歯のクロスバイトは、インビザラインでの改善中に前歯に過剰な力がかかり、歯髄壊死や歯肉退縮を引き起こすことがあります。また下顎小臼歯は寸胴型のため、捻転を排除することが難しいことが知られています。
それをワイヤー装置にて速やかに改善することで、トータルでの治療期間を短くすることができます。
マウスピース矯正の注意事項(リスク・副作用など)
- 口腔内・歯並びの状態によっては対応できない場合があります
- マウスピース型矯正装置の長時間装着(1日20時間以上)が必須です
- 治療計画通りに進めるためには、患者様の意志が重要になります
- 矯正治療後の保定が不十分だと後戻り(元の位置に戻ろうとする動き)をします
- 薬機法対象外の矯正歯科装置のため医薬品副作用被害救済制度の対象外となる場合があります
- 自費診療(保険適用外)となります
ワイヤー矯正の注意事項(リスク・副作用など)
- 治療中は違和感や痛みが起こることがあります
- 症状により、抜歯が必要な場合があります
- 治療中は歯磨きがしにくくなるため、虫歯や歯周病になりやすくなります
- 矯正治療後の保定が不十分だと後戻り(元の位置に戻ろうとする動き)をします
- 自費診療(保険適用外)となります
当サイトの内容、テキスト、画像等の無断転載、複製、複写、盗用を固く禁じます。



























