症例詳細
Case detail
隙間が空いて突出した前歯を治したい ワイヤー装置による抜歯矯正
治療症例の内容
- 診療科目
- 担当医
- 藤巻太一朗(ドクタープロフィール)
- 患者様
- 20代男性
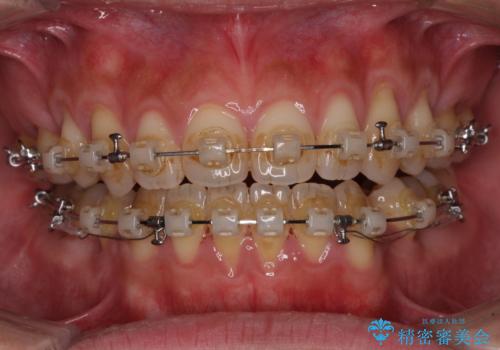
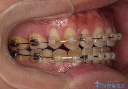
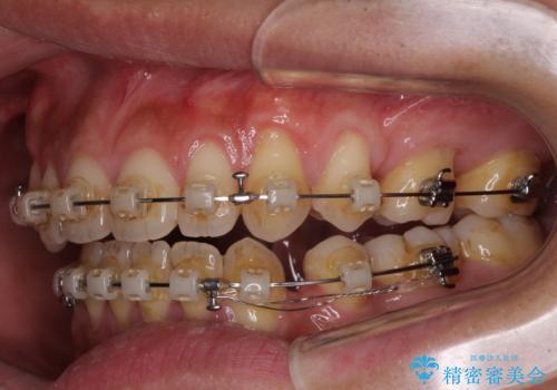
- 矯正装置
- クリアブラケット
- 治療期間
- 2年6ヶ月
- 治療回数
- 10-30回
- 治療計画
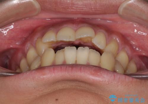
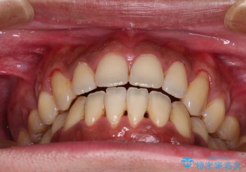
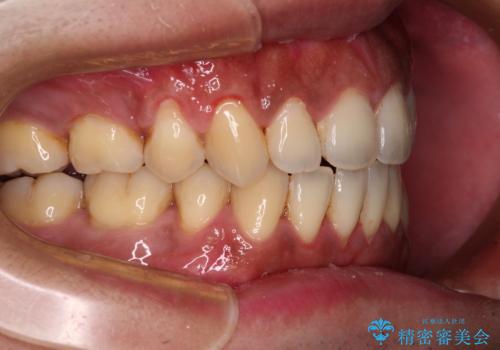
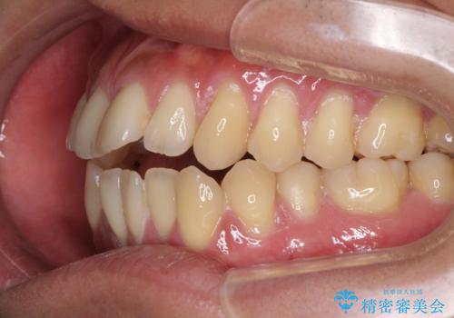
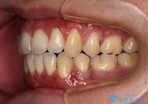
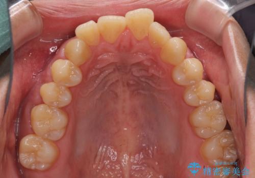
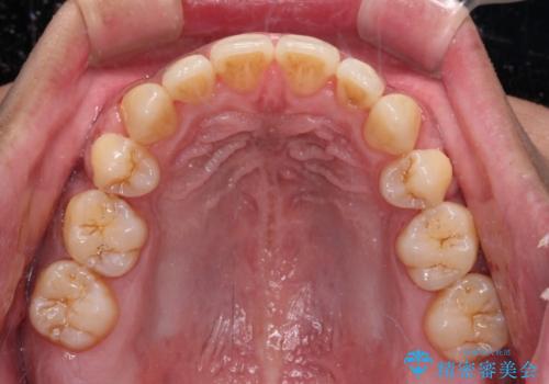
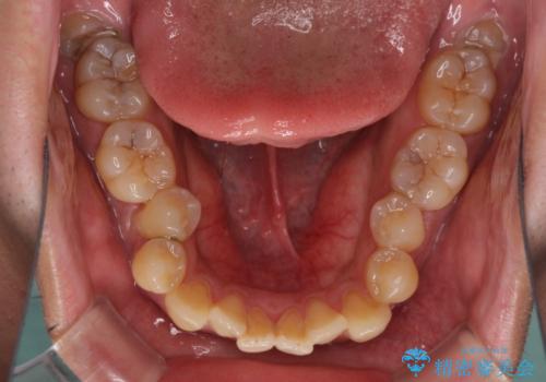
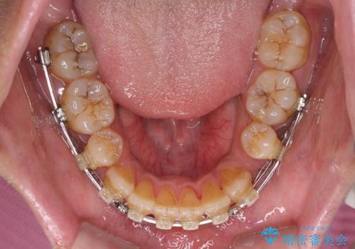
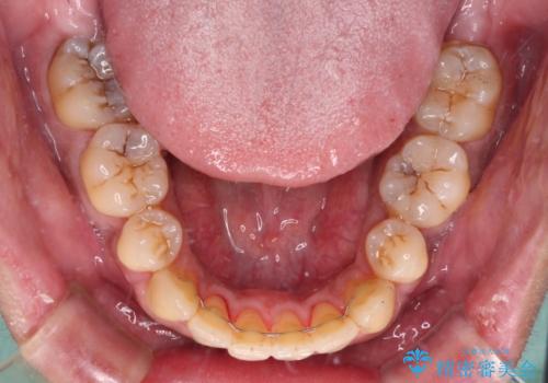
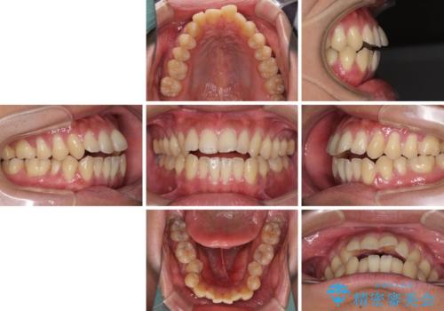
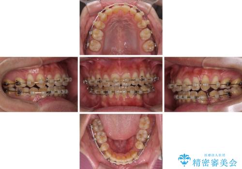
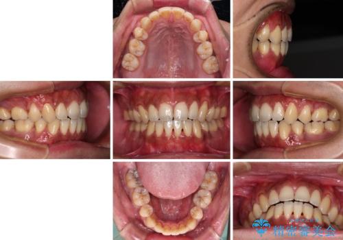
- 上下前歯の隙間と口元の出っ張った感じを気にして来院された患者様です。
上下の隙間は舌突出癖によるもので、またその癖により前歯が前方に出ている状態でした。
口元の出っ張りを改善するため、上下左右第一小臼歯4本を抜去し、ワイヤー装置にて矯正治療を行うこととしました。
- 費用(概算)
- 治療費の目安: 95万円(税込)費用は治療当時の料金となります
治療について
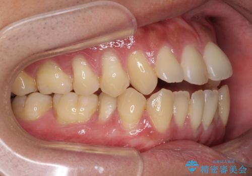
舌の突出癖を改善するためのトレーニングを指導していましたが、なかなか改善することができず、ワイヤー装置を外してからも上下前歯に隙間ができやすい状況でした。
ワイヤー矯正の注意事項(リスク・副作用など)
- 治療中は違和感や痛みが起こることがあります
- 症状により、抜歯が必要な場合があります
- 治療中は歯磨きがしにくくなるため、虫歯や歯周病になりやすくなります
- 矯正治療後の保定が不十分だと後戻り(元の位置に戻ろうとする動き)をします
- 自費診療(保険適用外)となります
当サイトの内容、テキスト、画像等の無断転載、複製、複写、盗用を固く禁じます。


























