症例詳細
Case detail
大きい虫歯で欠けた前歯 セラミッククラウンで治療
治療症例の内容
- 診療科目
- 治療カテゴリ
- 担当医
- 岡田康成(ドクタープロフィール)
- 患者様
- 50代女性
- 治療期間
- 1ヶ月
- 治療回数
- 2-5回
- 治療計画
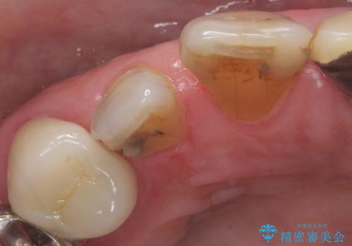
- 前歯が欠けたとのことで来院。
確認すると上の前歯の裏側に大きな虫歯がありました。
- 費用(概算)
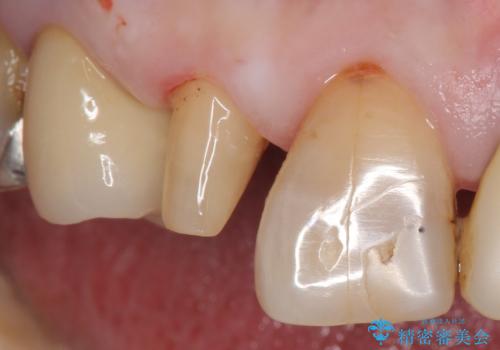
- 右上2 仮歯+ジルコニアクラウン(スタンダード) 11000円+110000円費用は治療当時の料金となります
治療について
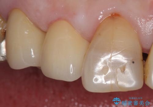
元々歯と歯の間のすき間が大きく食べ物が良く詰まるとのことでした。
クラウンでの修復は歯の形を変えある程度すき間を埋めることが可能です。
歯と歯の間の大きなすき間と虫歯の両方を解決することができ、大変満足していただけました。
セラミック治療の注意事項(リスク・副作用など)
- 天然歯を削ります
- 硬い素材は天然歯を傷つけてしまう場合があります
- かみ合わせや歯ぎしりが強すぎる方はセラミックが割れてしまう可能性があります
- 自費診療(保険適用外治療)となります
当サイトの内容、テキスト、画像等の無断転載、複製、複写、盗用を固く禁じます。








