症例詳細
Case detail
八重歯とクロスバイト 目立たないワイヤー装置での抜歯矯正
治療症例の内容
- 診療科目
- 担当医
- 藤巻太一朗(ドクタープロフィール)
- 患者様
- 20代女性
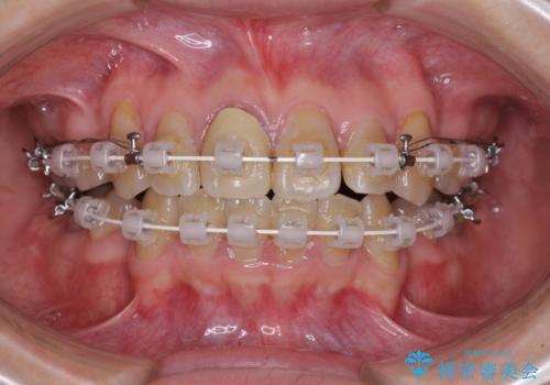
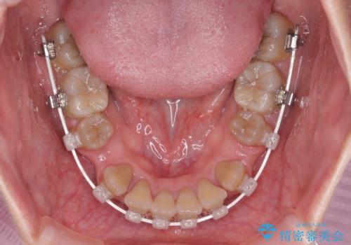
- 矯正装置
- 審美装置
- 治療期間
- 2年5ヶ月
- 治療回数
- 10-30回
- 治療計画
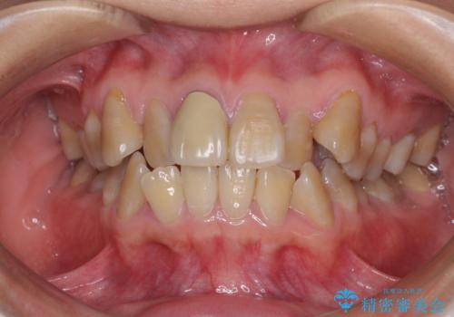
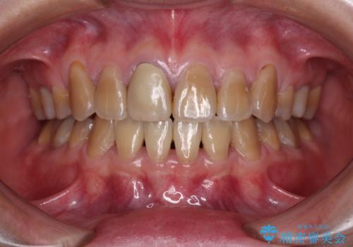
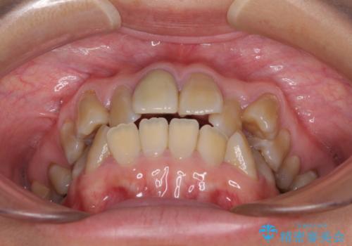
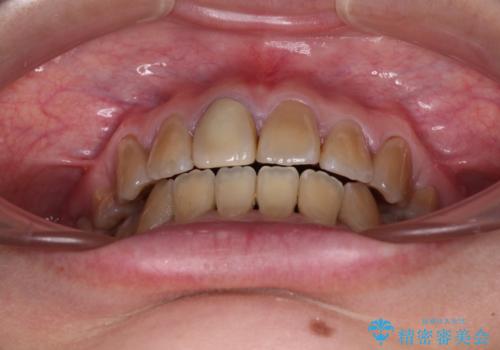
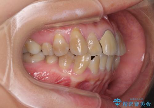
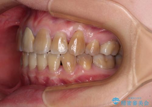
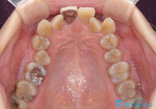
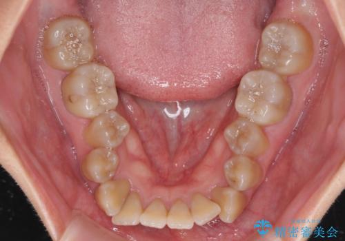
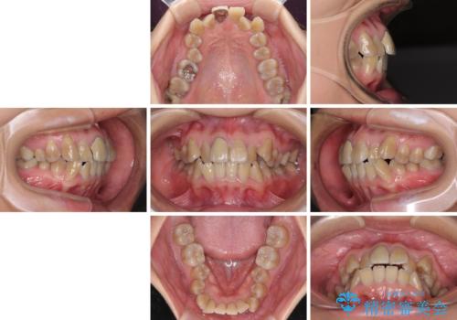
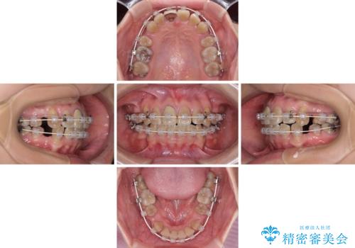
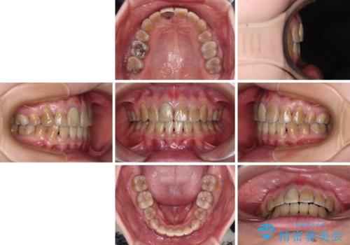
- 八重歯や前歯のデコボコを気にして来院された患者様です。
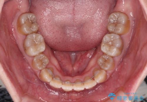
歯列が前方に傾斜しており、デコボコが強かったため、上下左右第一小臼歯4歯を抜去し、ワイヤー装置による矯正治療を行うこととしました。
- 費用(概算)
- 治療費の目安: 100万円(税込)費用は治療当時の料金となります
治療について
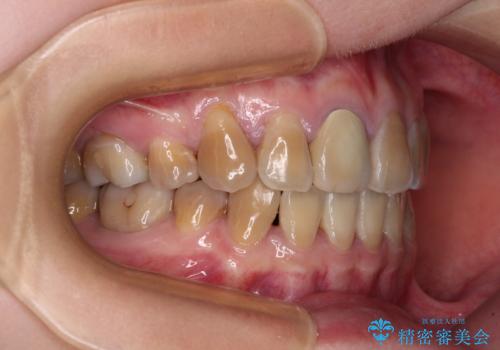
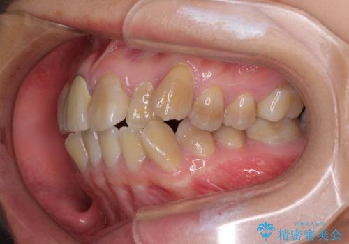
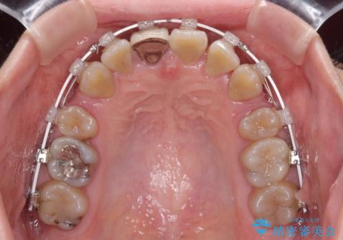
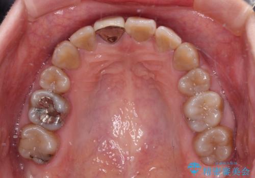
上下の正中がずれていましたが、抜歯矯正であったので、極力正中位置を合わせるように治療を進めて行きました。
顎間ゴムの使用などにより、正中位置を改善することができました。
ワイヤー矯正の注意事項(リスク・副作用など)
- 治療中は違和感や痛みが起こることがあります
- 症状により、抜歯が必要な場合があります
- 治療中は歯磨きがしにくくなるため、虫歯や歯周病になりやすくなります
- 矯正治療後の保定が不十分だと後戻り(元の位置に戻ろうとする動き)をします
- 自費診療(保険適用外)となります
当サイトの内容、テキスト、画像等の無断転載、複製、複写、盗用を固く禁じます。


























