症例詳細
Case detail
不具合ばかりの前歯 前歯のオールセラミックブリッジ
治療症例の内容
- 診療科目
- 治療カテゴリ
- 担当医
- 藤巻太一朗(ドクタープロフィール)
- 患者様
- 50代女性
- 治療期間
- 4ヶ月
- 治療回数
- 2-5回
- 治療計画
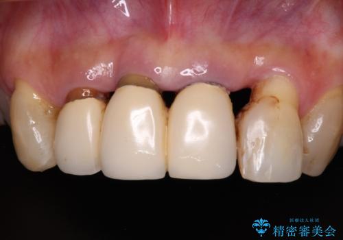
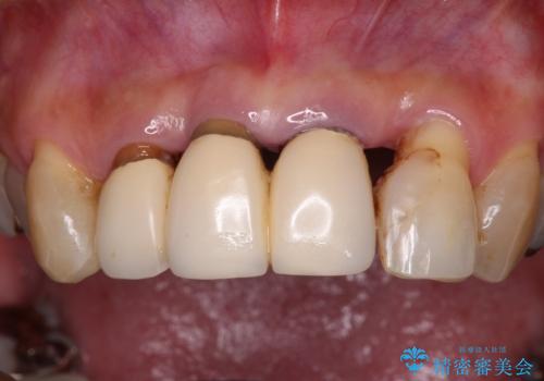
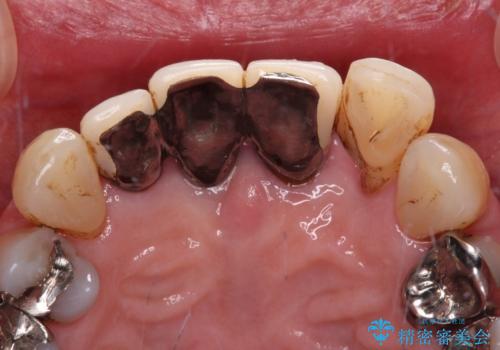
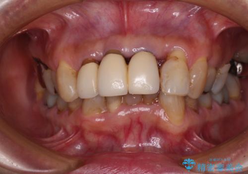
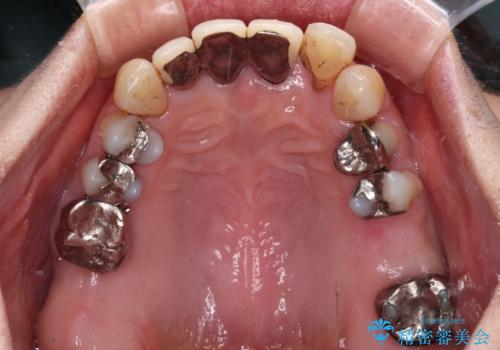
- 上顎前歯の違和感や不快感を気にして来院された患者様です。
現在のクラウンは金属の縁が見えており、歯と歯と歯肉の間に大きなスペースができていて、見た目も悪く、物が挟まったり話しにくかったりしていました。
また、前歯に抜歯が必要な歯があったため、抜歯をし、傷の治りを待ってオールセラミックブリッジにて補綴治療を行うこととしました。
- 費用(概算)
- 治療費の目安: 55万円(税込)費用は治療当時の料金となります
治療について
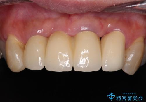
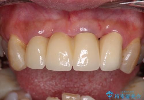
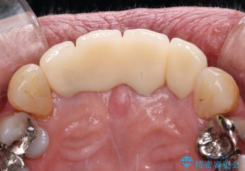
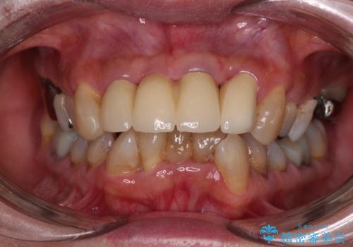
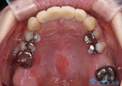
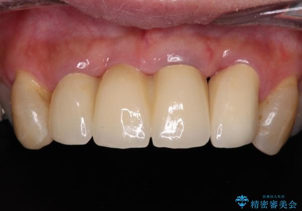
一番気になっていた隙間が埋まり、不快感から解放されました。
セラミック治療の注意事項(リスク・副作用など)
- 天然歯を削ります
- 硬い素材は天然歯を傷つけてしまう場合があります
- かみ合わせや歯ぎしりが強すぎる方はセラミックが割れてしまう可能性があります
- 自費診療(保険適用外治療)となります
当サイトの内容、テキスト、画像等の無断転載、複製、複写、盗用を固く禁じます。












