症例詳細
Case detail
銀歯を白くしたい セラミックによる審美歯科治療
治療症例の内容
- 診療科目
- 担当医
- 齋藤佑磨(ドクタープロフィール)
- 患者様
- 50代女性
- 治療期間
- 4ヶ月
- 治療回数
- 2-5回
- 治療計画
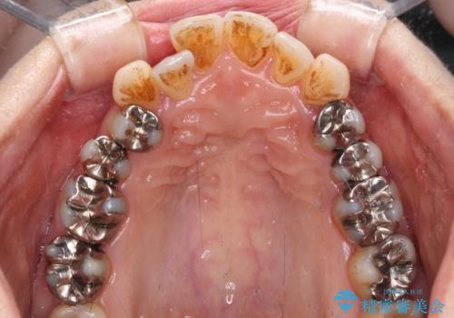
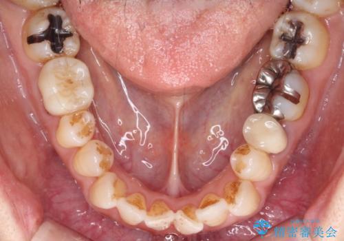
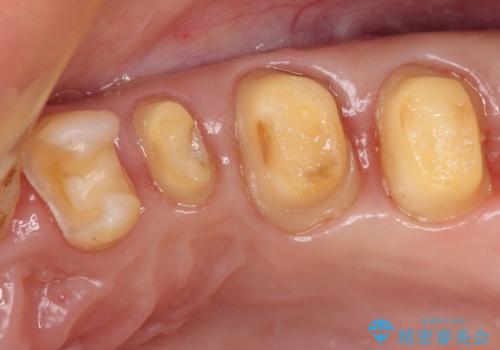
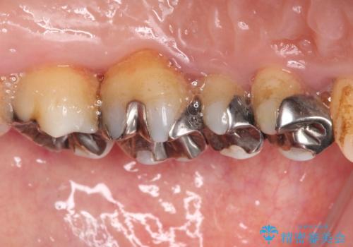
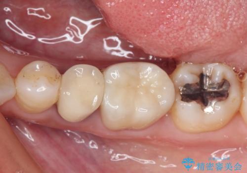
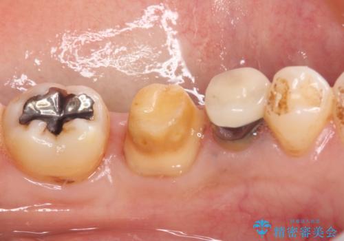
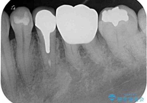
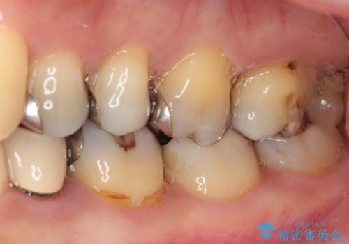
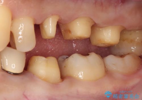
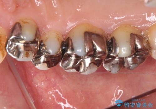
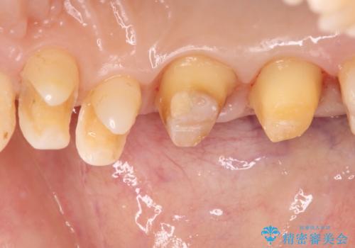
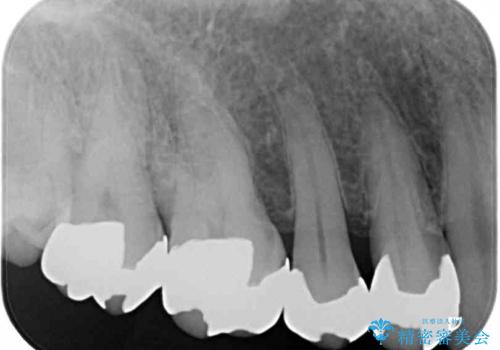
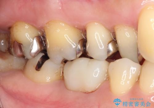
- 奥歯の銀歯をセラミックの白い歯にして、しみる症状も改善したいとのことで来院された患者様です。
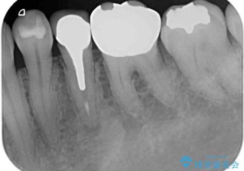
知覚過敏の症状が強い歯と、銀歯の範囲や銀歯の下のむし歯が大きい歯は、インレー修復では対応が難しいためオールセラミッククラウンで、インレー修復で対応が可能な歯ではセラミックインレーにて修復することとしました。
- 費用(概算)
- 76万円(税込)費用は治療当時の料金となります
治療について
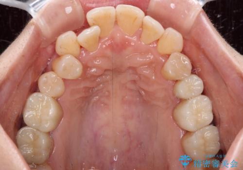
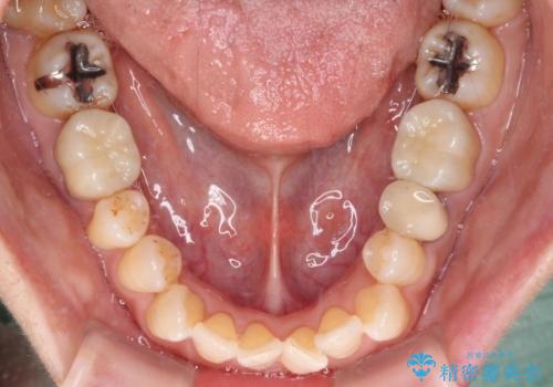
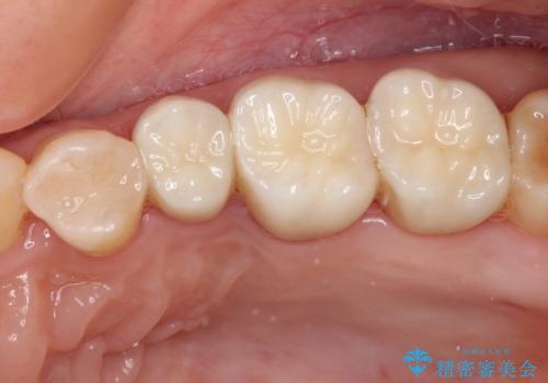
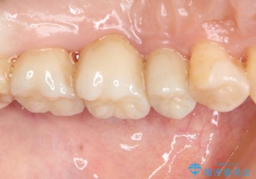
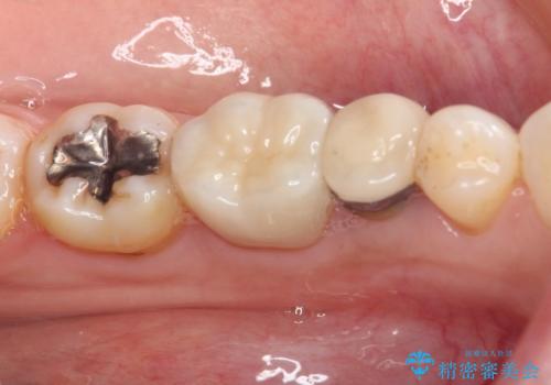
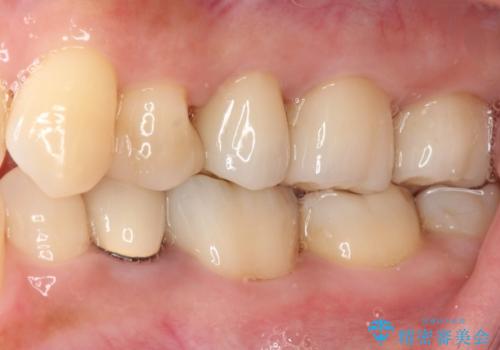
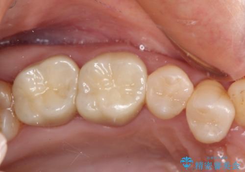
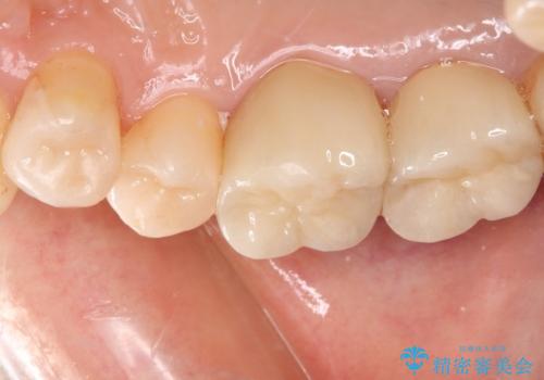
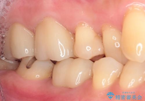
知覚過敏の症状はなくなり、希望通りの白い歯になったと、患者様は大変満足されました。
セラミック治療の注意事項(リスク・副作用など)
- 天然歯を削ります
- 硬い素材は天然歯を傷つけてしまう場合があります
- かみ合わせや歯ぎしりが強すぎる方はセラミックが割れてしまう可能性があります
- 自費診療(保険適用外治療)となります
当サイトの内容、テキスト、画像等の無断転載、複製、複写、盗用を固く禁じます。


































