症例詳細
Case detail
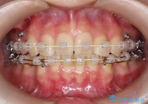
ワイヤーによる抜歯矯正でガタガタの改善
治療症例の内容
- 患者様
- 20代女性
- 矯正装置
- 約100万円
- 治療期間
- 1年11ヶ月
- 治療回数
- 10-30回
- 治療計画
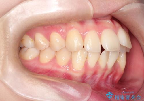
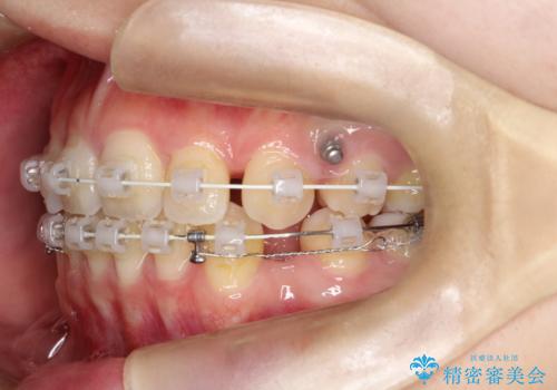
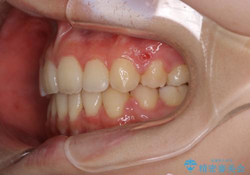
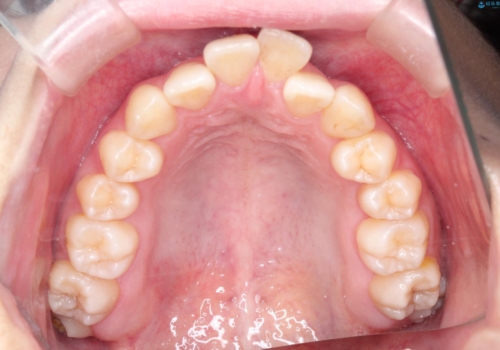
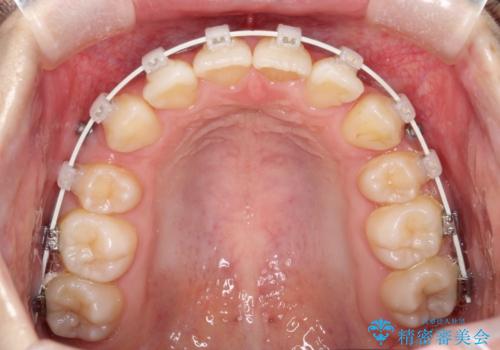
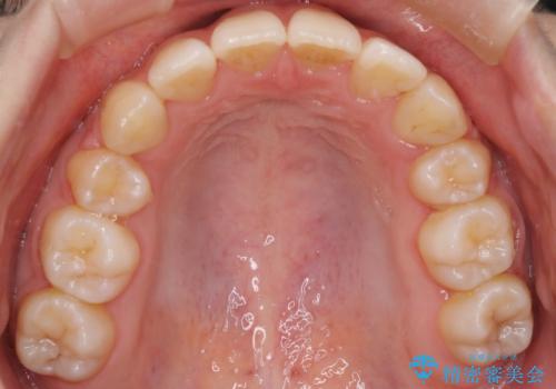
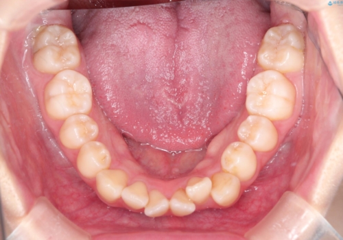
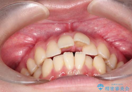
- 前歯のがたがたを主訴に来院されました。
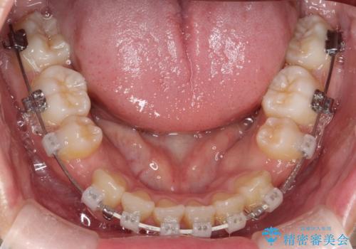
上下の前歯が前方に傾斜しているのもあり、内側に前歯をひっこめるために上下左右の歯を1本ずつ抜歯して矯正することとしました。
- 費用(概算)
- 約100万円費用は治療当時の料金となります
治療について
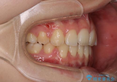
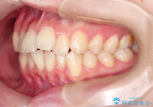
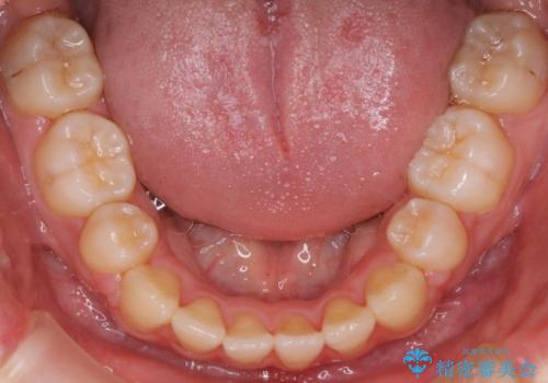
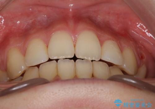
ガタガタも改善しましたが、前歯が内側に引っ込むことにより口元もすっきりして、唇が閉じやすくなりました。
ワイヤー矯正の注意事項(リスク・副作用など)
- 治療中は違和感や痛みが起こることがあります
- 症状により、抜歯が必要な場合があります
- 治療中は歯磨きがしにくくなるため、虫歯や歯周病になりやすくなります
- 矯正治療後の保定が不十分だと後戻り(元の位置に戻ろうとする動き)をします
- 自費診療(保険適用外)となります
当サイトの内容、テキスト、画像等の無断転載、複製、複写、盗用を固く禁じます。





















