症例詳細
Case detail
治療後に歯茎から出血 インプラントとオールセラミッククラウンの補綴治療
治療症例の内容
- 担当医
- 藤巻太一朗(ドクタープロフィール)
- 患者様
- 50代女性
- 治療期間
- 8ヶ月
- 治療回数
- 5-10回
- 治療計画
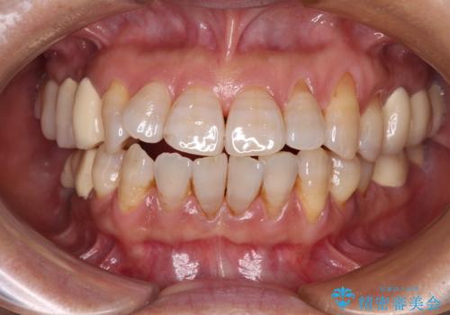
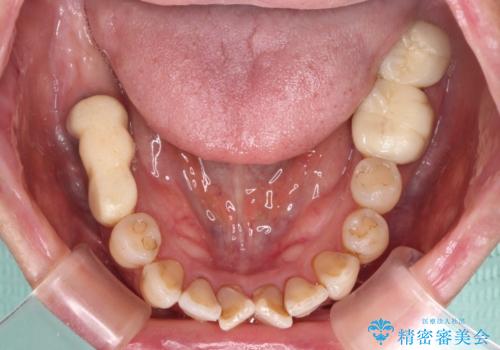
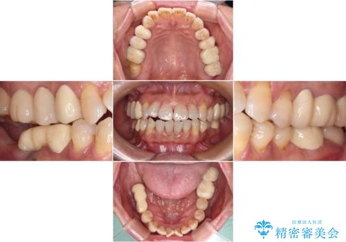
- 治療をおこなって以来、クラウン周りの歯肉から出血が続くとのことで来院された患者様です。
診察を行ったところ、クラウンと歯の境目が不適合で汚れが溜まりやすく、炎症を起こしている状態でした。
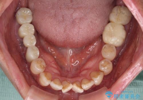
治療を終えたばかりですが、出血を改善するためには作り直しが必要と判断し、オールセラミッククラウンにて補綴治療することとしました。
他にも、咬合時に痛みを感じる歯や、欠損により咬みにくい奥歯などをインプラントを用いて治療を行うこととしました。
- 費用(概算)
- 治療費の目安: 110万円(税込)費用は治療当時の料金となります
治療について
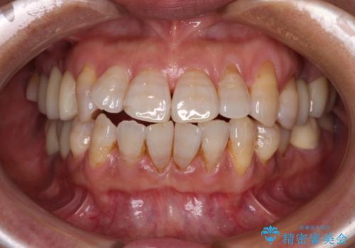
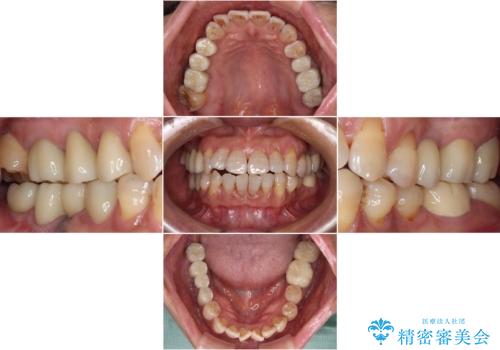
仮歯に置き換えた時点で歯肉からの出血は収まり、不快感が改善されました。
右下は、残存歯の状態があまり良くなかったため、今後抜歯となったことを想定して、最後臼歯のインプラントを決定しました。
セラミック治療の注意事項(リスク・副作用など)
- 天然歯を削ります
- 硬い素材は天然歯を傷つけてしまう場合があります
- かみ合わせや歯ぎしりが強すぎる方はセラミックが割れてしまう可能性があります
- 自費診療(保険適用外治療)となります
インプラント治療の注意事項(リスク・副作用など)
- 外科手術のため、術後に痛みや腫れ、違和感を伴います
- メンテナンスを怠ったり喫煙により、お口の中に大きな悪影響を及ぼすインプラント周囲炎等にかかる可能性があります
- 糖尿病、肝硬変、心臓病等の場合、インプラント治療ができない可能性があります
- 高血圧、貧血・不整脈等の場合、インプラント治療後に治癒不全を招く可能性があります
- 自費診療(保険適用外治療)となります
当サイトの内容、テキスト、画像等の無断転載、複製、複写、盗用を固く禁じます。




















