症例詳細
Case detail
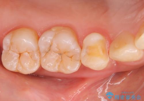
矯正終了し、銀歯が見えるため治してほしい。セラミック治療
治療症例の内容
- 診療科目
- 治療カテゴリ
- 担当医
- 菊地俊介(ドクタープロフィール)
- 患者様
- 40代女性
- 治療期間
- 1ヶ月
- 治療回数
- 2-5回
- 治療計画
- 当院にて矯正終了し、口腔内のモチベーションも上がったということから、銀歯をセラミックにしてほしいということで来院された患者様です。
- 費用(概算)
- 7.7万円費用は治療当時の料金となります
治療について
銀歯を除去し虫歯があるか確認し、虫歯がある場合は虫歯を取ってからセラミックが入るように形を作っていきます。
セラミックインレー(7万円)税別
セラミック治療の注意事項(リスク・副作用など)
- 天然歯を削ります
- 硬い素材は天然歯を傷つけてしまう場合があります
- かみ合わせや歯ぎしりが強すぎる方はセラミックが割れてしまう可能性があります
- 自費診療(保険適用外治療)となります
当サイトの内容、テキスト、画像等の無断転載、複製、複写、盗用を固く禁じます。





