症例詳細
Case detail
矯正終了後、詰め物を綺麗にしたい。セラミック治療
治療症例の内容
- 診療科目
- 治療カテゴリ
- 担当医
- 菊地俊介(ドクタープロフィール)
- 患者様
- 20代女性
- 治療期間
- 1ヶ月
- 治療回数
- 2-5回
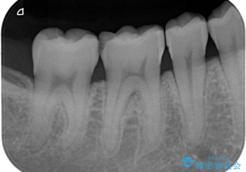
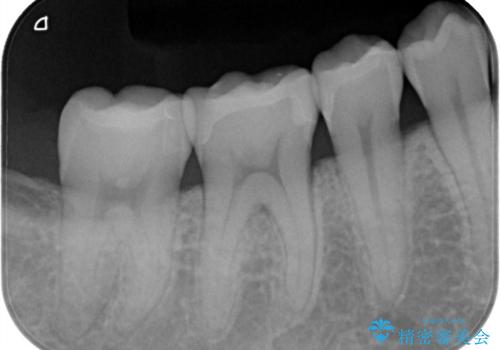
- 治療計画
- 矯正終了後、昔詰めたプラスチックのやりかえを御希望されて3本セラミックにて治療を行いました。
- 費用(概算)
- 23.1万円費用は治療当時の料金となります
治療について
プラスチックは経年的に劣化していて、虫歯の原因になることが多くあります。
今回の患者様も、プラスチックが劣化し着色が気になるとのことでしたがセラミックになってかなり喜んでいただけました。
セラミックインレー3本 1本7万円(税別)
セラミック治療の注意事項(リスク・副作用など)
- 天然歯を削ります
- 硬い素材は天然歯を傷つけてしまう場合があります
- かみ合わせや歯ぎしりが強すぎる方はセラミックが割れてしまう可能性があります
- 自費診療(保険適用外治療)となります
当サイトの内容、テキスト、画像等の無断転載、複製、複写、盗用を固く禁じます。





