症例詳細
Case detail
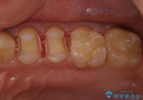
奥歯の着色が気になる セラミック治療
治療症例の内容
- 診療科目
- 治療カテゴリ
- 担当医
- 菊地俊介(ドクタープロフィール)
- 患者様
- 20代女性
- 治療期間
- 1ヶ月
- 治療回数
- 2-5回
- 治療計画
- 矯正終了後検査を行ったところ、以前詰めていたプラスチックの材料が着色し劣化していたこともあり、検査したところ虫歯になっていたところがあったため治療を進めることとなった。
- 費用(概算)
- 15.4万円費用は治療当時の料金となります
治療について
劣化していたプラスチックをとって、虫歯をとり、形を作って、型取りをして、精度の高い詰め物(インレー)をしています。
セラミック治療の注意事項(リスク・副作用など)
- 天然歯を削ります
- 硬い素材は天然歯を傷つけてしまう場合があります
- かみ合わせや歯ぎしりが強すぎる方はセラミックが割れてしまう可能性があります
- 自費診療(保険適用外治療)となります
当サイトの内容、テキスト、画像等の無断転載、複製、複写、盗用を固く禁じます。





