症例詳細
Case detail
口元の印象が変わります。 引っ込んでいる前歯を出す治療
治療症例の内容
- 患者様
- 20代女性
- 矯正装置
- インビザライン
- 治療期間
- 11ヶ月
- 治療回数
- 5-10回
- 治療計画
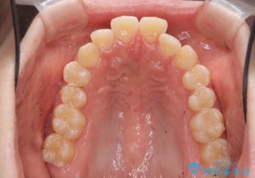
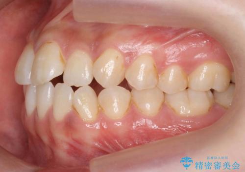
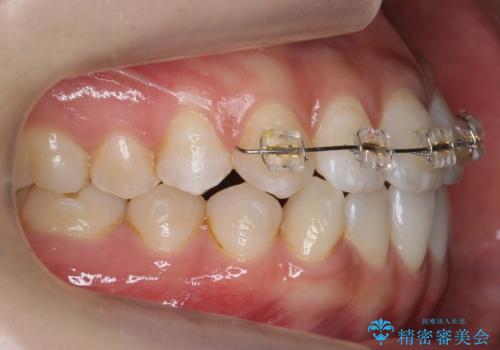
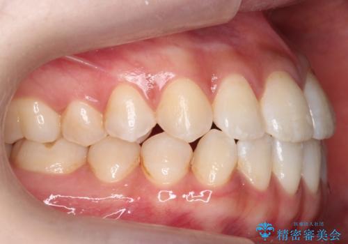
- 前歯のがたつきを気にして来院。
上の前歯はワイヤー部分矯正で、左上の奥に引っ込んでしまって逆に咬んでいる歯を早期に表に出しました。
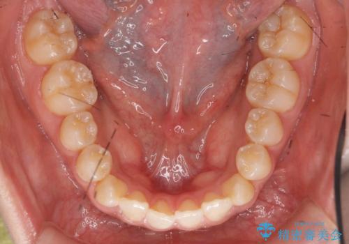
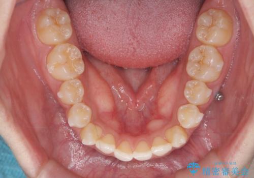
上の歯と並行して、下はマウスピース矯正で並べました。
左下臼歯は反対咬合になっていた部分も治療しています。
- 費用(概算)
- 88万円(マウスピース矯正 77万円、付加装置費用11万円)費用は治療当時の料金となります
治療について
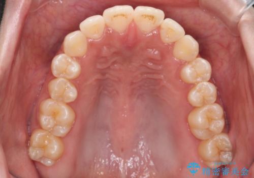
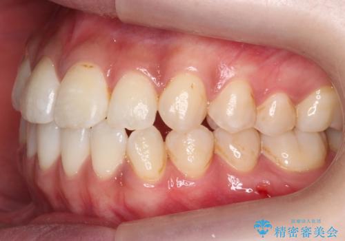
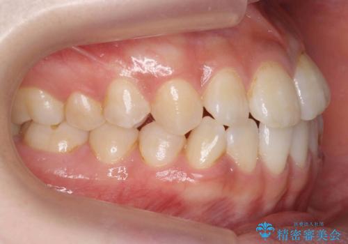
裏側に入っていた前歯が表に出ると、大きく印象が変わります。
左下の大臼歯はスクリューを用いて遠心移動を行っています。
マウスピース矯正の注意事項(リスク・副作用など)
- 口腔内・歯並びの状態によっては対応できない場合があります
- マウスピース型矯正装置の長時間装着(1日20時間以上)が必須です
- 治療計画通りに進めるためには、患者様の意志が重要になります
- 矯正治療後の保定が不十分だと後戻り(元の位置に戻ろうとする動き)をします
- 薬機法対象外の矯正歯科装置のため医薬品副作用被害救済制度の対象外となる場合があります
- 自費診療(保険適用外)となります
ワイヤー矯正の注意事項(リスク・副作用など)
- 治療中は違和感や痛みが起こることがあります
- 症状により、抜歯が必要な場合があります
- 治療中は歯磨きがしにくくなるため、虫歯や歯周病になりやすくなります
- 矯正治療後の保定が不十分だと後戻り(元の位置に戻ろうとする動き)をします
- 自費診療(保険適用外)となります
当サイトの内容、テキスト、画像等の無断転載、複製、複写、盗用を固く禁じます。

















