症例詳細
Case detail
【非抜歯】狭い歯列を改善 ガタつきを治す
治療症例の内容
- 担当医
- 今村大二郎(ドクタープロフィール)
- 患者様
- 30代 女性
- 矯正装置
- マウスピース(インビザライン)
- 治療期間
- 1年6ヶ月
- 治療回数
- 10-30回
- 治療計画
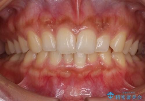
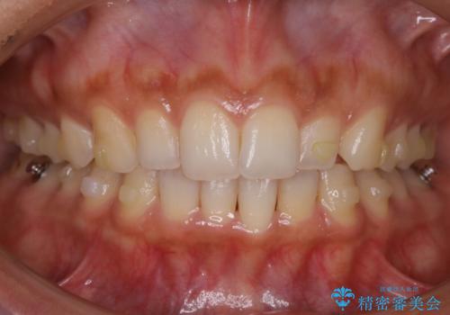
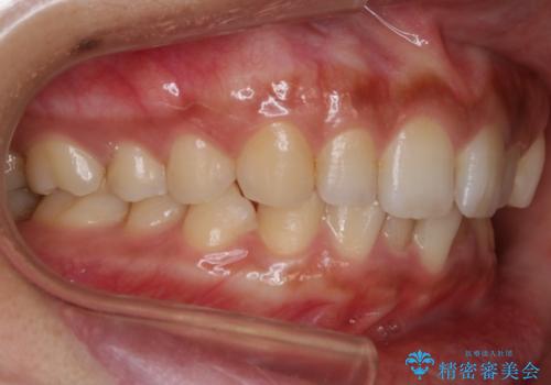
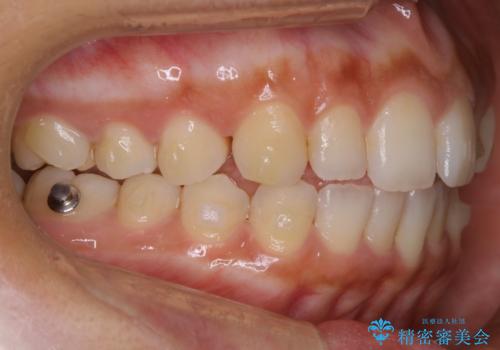
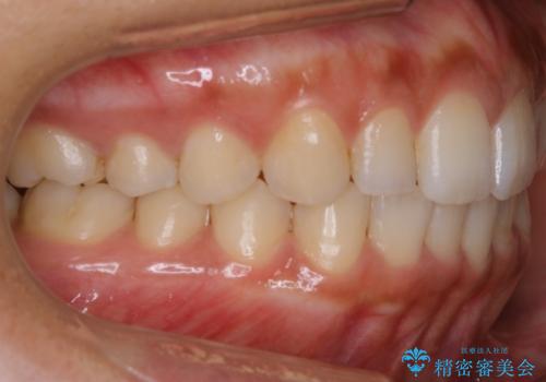
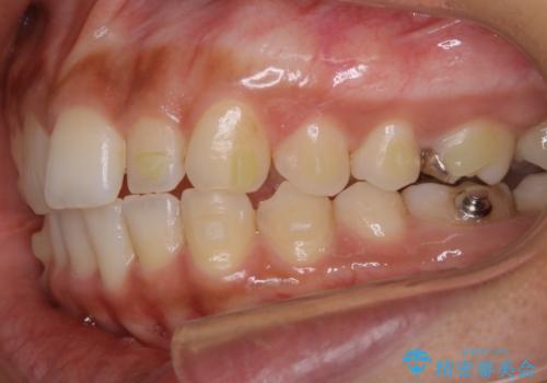
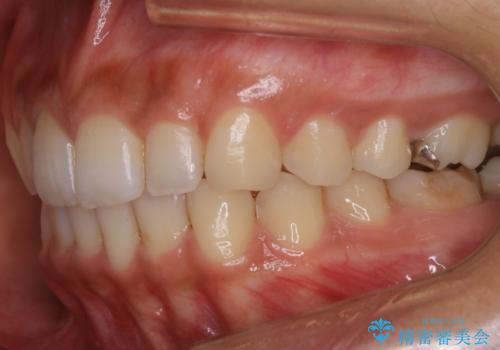
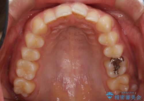
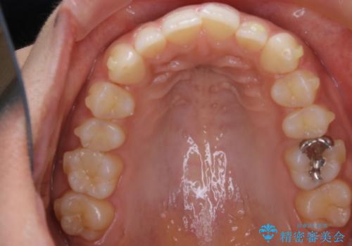
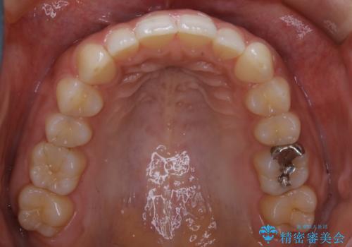
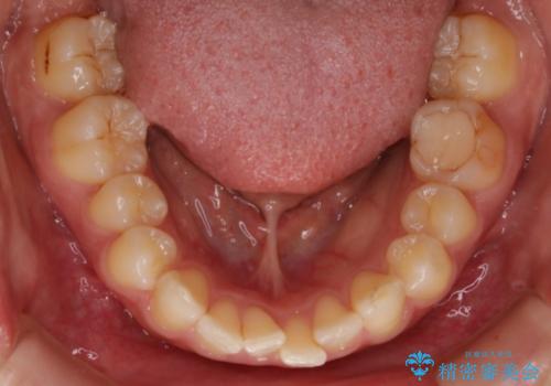
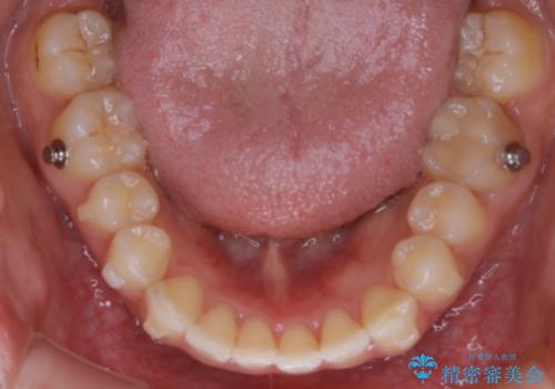
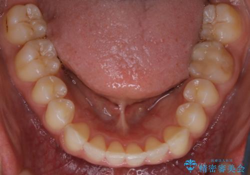
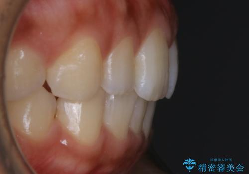
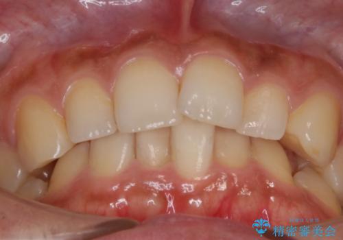
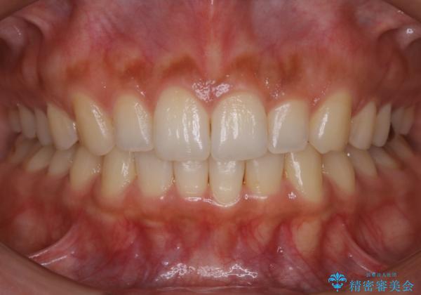
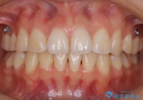
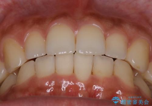
- 主に下の前歯のガタつきを主訴にご来院されました。
見えにくい装置をご希望だったため、マウスピースによる治療を行うこととなりました。
ガタつき度合い的には抜歯は不要だったので、歯列の幅の拡大を主軸として矯正を行いました。
- 費用(概算)
- インビザライン コンプリヘンシブパッケージ 88万円(税込み・ゴムかけ用装置代込み)費用は治療当時の料金となります
狭窄歯列
当ケースでの下顎のガタつきの原因は、歯列が舌側へ傾斜することでスペースがなくなってしまっていることであるため、マウスピース治療で歯列の幅の拡大を行いました。
マウスピース矯正の注意事項(リスク・副作用など)
- 口腔内・歯並びの状態によっては対応できない場合があります
- マウスピース型矯正装置の長時間装着(1日20時間以上)が必須です
- 治療計画通りに進めるためには、患者様の意志が重要になります
- 矯正治療後の保定が不十分だと後戻り(元の位置に戻ろうとする動き)をします
- 薬機法対象外の矯正歯科装置のため医薬品副作用被害救済制度の対象外となる場合があります
- 自費診療(保険適用外)となります
当サイトの内容、テキスト、画像等の無断転載、複製、複写、盗用を固く禁じます。



















