症例詳細
Case detail
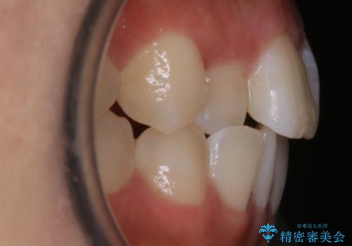
【非抜歯】部分矯正でも治る 前歯の反対咬合
治療症例の内容
- 患者様
- 20代 女性
- 矯正装置
- マウスピース(インビザライン)
- 治療期間
- 6ヶ月
- 治療回数
- 10-30回
- 治療計画
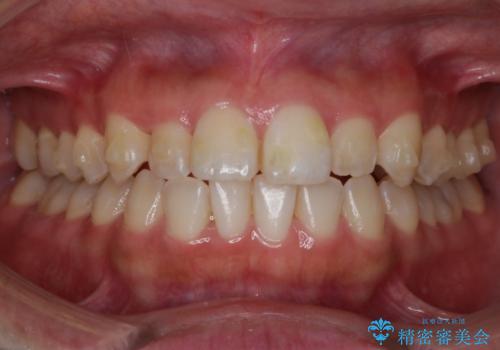
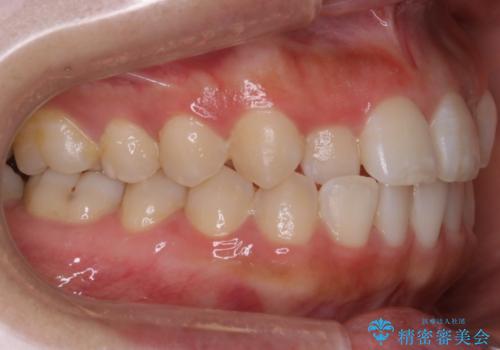
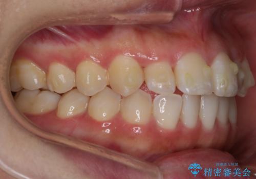
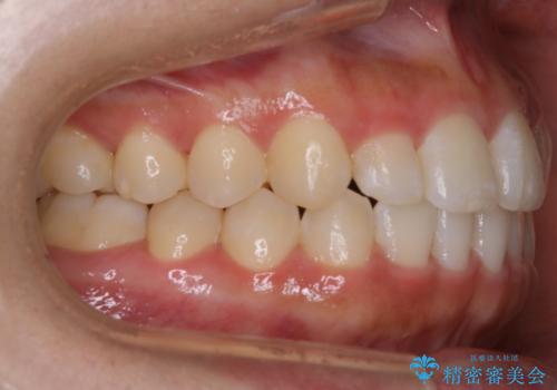
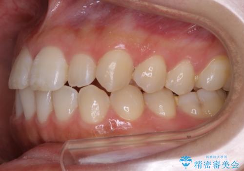
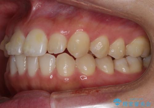
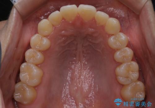
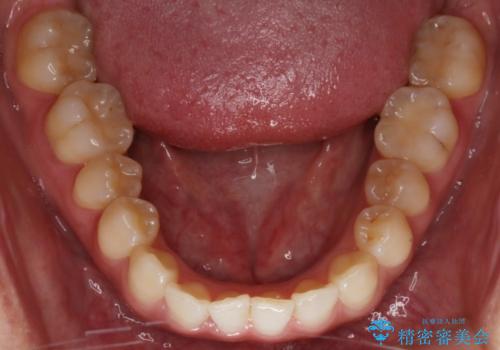
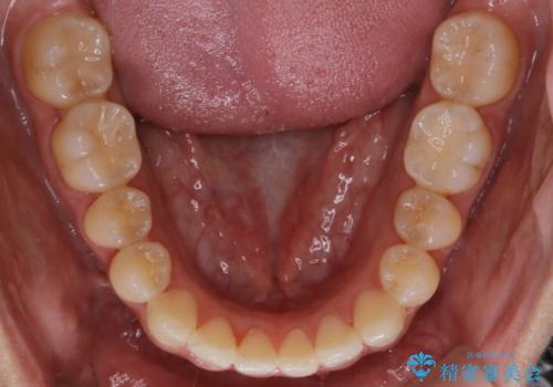
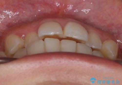
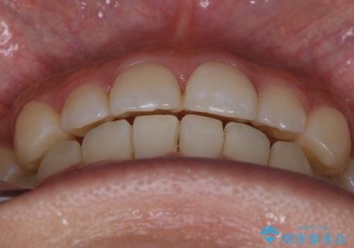
- 前歯にガタつきを主訴にご来院されました。
奥歯の嚙み合わせに問題がほとんどみられなかったため、インビザライン ライトパッケージでの部分矯正を行うこととなりました。
- 費用(概算)
- インビザライン ライトパッケージ¥490,000(税込み)費用は治療当時の料金となります
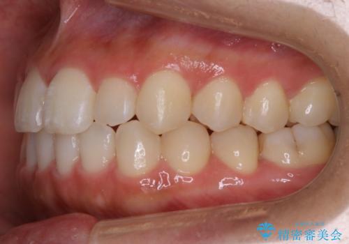
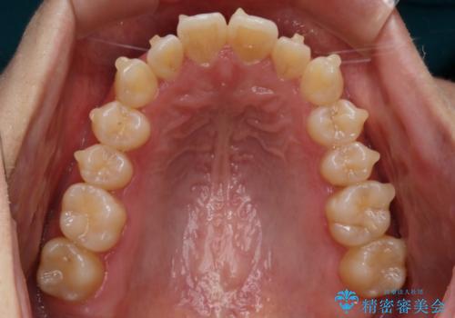
部分矯正
今回のケースでは奥歯の噛み合わせに問題がほぼみられなかったため、前歯の位置のみに焦点を当て部分矯正を行いました。
適応されるケースが限られるものの、適応であった場合の治療期間は全体矯正と比べると格段に短くなり、費用も抑えられます。
マウスピース矯正の注意事項(リスク・副作用など)
- 口腔内・歯並びの状態によっては対応できない場合があります
- マウスピース型矯正装置の長時間装着(1日20時間以上)が必須です
- 治療計画通りに進めるためには、患者様の意志が重要になります
- 矯正治療後の保定が不十分だと後戻り(元の位置に戻ろうとする動き)をします
- 薬機法対象外の矯正歯科装置のため医薬品副作用被害救済制度の対象外となる場合があります
- 自費診療(保険適用外)となります
当サイトの内容、テキスト、画像等の無断転載、複製、複写、盗用を固く禁じます。





















