症例詳細
Case detail
以前治療した詰め物が欠けた オールセラミッククラウンによる補綴
治療症例の内容
- 診療科目
- 治療カテゴリ
- 担当医
- 齋藤佑磨(ドクタープロフィール)
- 患者様
- 40代女性
- 治療期間
- 1ヶ月
- 治療回数
- 2-5回
- 治療計画
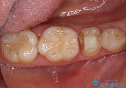
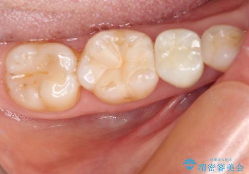
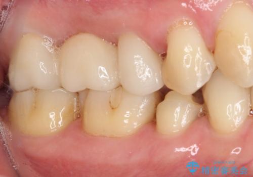
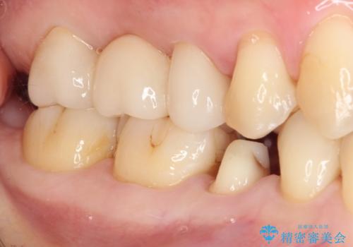
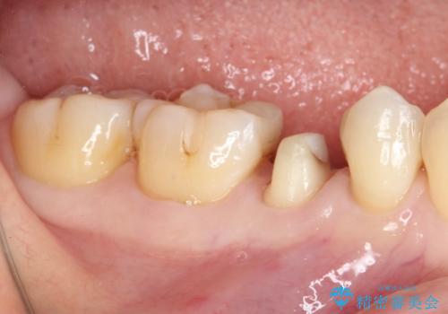
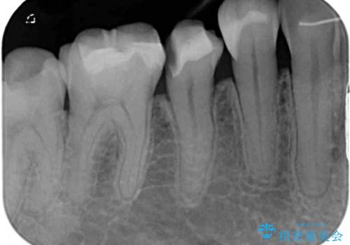
- 他院にて治療した詰め物が欠けてしまった事を主訴に来院された患者様です。
詰め物の範囲が大きく、部分的な詰め物では再び割れてしまうリスクが高いため、
オールセラミッククラウンにて補綴することとしました。
- 費用(概算)
- 9万円(税込)費用は治療当時の料金となります
治療について
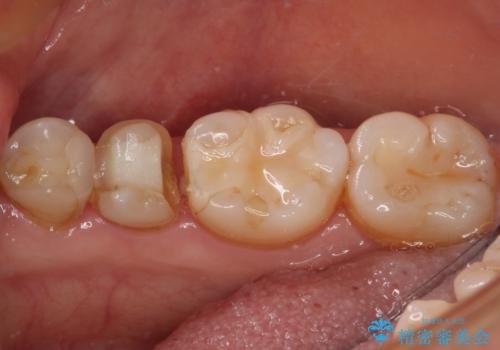
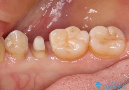
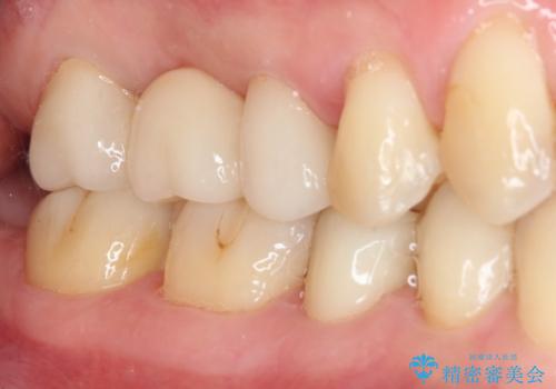
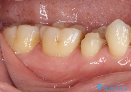
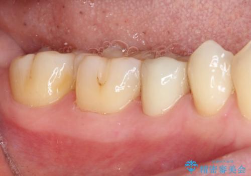
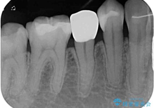
しみる症状はなくなり、見た目もきれいになり、とても満足されました。
セラミック治療の注意事項(リスク・副作用など)
- 天然歯を削ります
- 硬い素材は天然歯を傷つけてしまう場合があります
- かみ合わせや歯ぎしりが強すぎる方はセラミックが割れてしまう可能性があります
- 自費診療(保険適用外治療)となります
当サイトの内容、テキスト、画像等の無断転載、複製、複写、盗用を固く禁じます。














